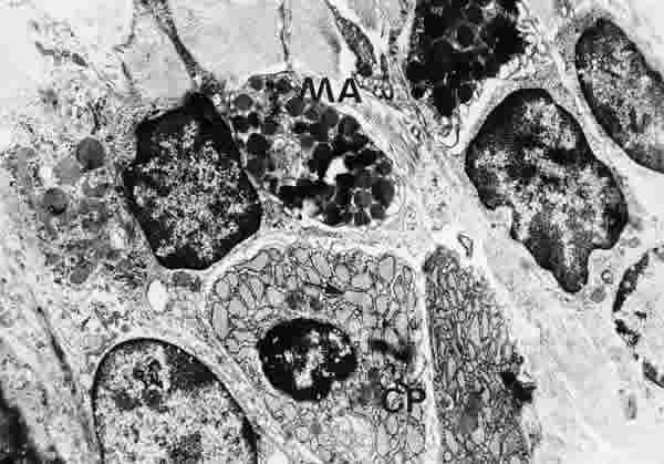
Figura 30

BIOPSIA EN UN PACIENTE CON SS1-GRADO I. SE OBSERVA GRAN NÚMERO DE CÉLULAS PLASMÁTICAS (CP) CON ABUNDANTE MATERIAL ELECTRODENSO DENTRO DE GRANDES CISTERNAS DE REr, Y MASTOCITOS (MA) CON ABUNDANTES GRÁNULOS. MICROSCOPIA ELECTRÓNICA. MAGNIFICACIÓN ORIGINAL X4000.