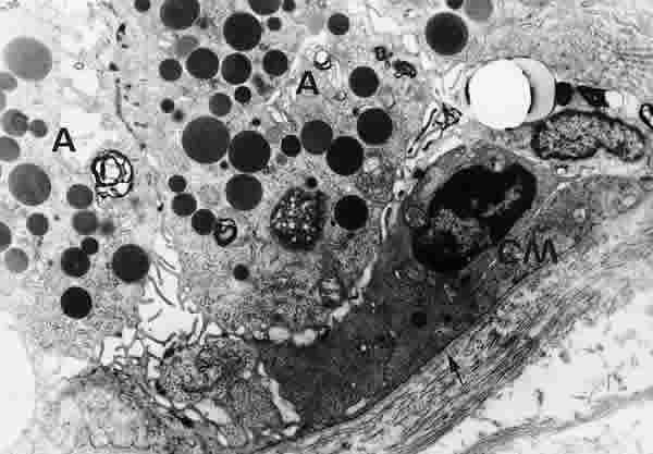
Figura 31

BIOPSIA EN UNA PERSONA CONTROL. EN EL POLO BASAL DE LAS CÉLULAS ACINARES (A) EXISTE GRAN CANTIDAD DE GRÁNULOS DE SECRECIÓN Y ABUNDANTES ORGÁNULOS SUBCELULARES. SE OBSERVA UNA CÉLULAS MIOEPITELIAL (CM). LA MEMBRANA BASAL (FLECHA ARRIBA) ES ANCHA Y CONTINUA. MICROSCOPIA ELECTRÓNICA. MAGNIFICACIÓN ORIGINAL X5000.