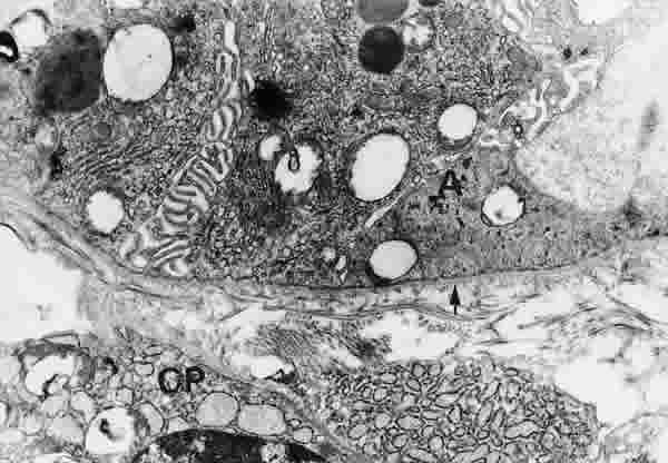
Figura 32

BIOPSIA EN UN PACIENTE CON SS1-GRADO I. LAS CÉLULAS ACINARES (A) TIENEN GRAN CANTIDAD DE ORGÁNULOS SUBCELULARES, AUNQUE CON ESCASOS GRÁNULOS DE SECRECIÓN EN POSICIÓN BASAL. LA MEMBRANA BASAS (FLECHA ARRIBA) ES MODERADAMENTE ANCHA Y CONTINUA. EN EL TEJIDO CONECTIVO SE OBSERVAN CÉLULAS PLASMÁTICAS (CP). MICROSCOPIA ELECTRÓNICA. MAGNIFICACIÓN ORIGINAL X6000.