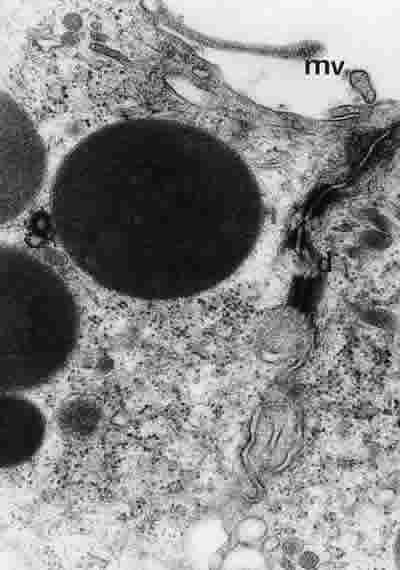
Figura 34

BIOPSIA EN UNA PERSONA CONTROL. DETALLE DE UNA CÉLULA ACINAR (A). EXISTEN PEQUEÑAS MICROVELLOSIDADES (mv) Y GRAN CANTIDAD DE GRÁNULOS DE SECRECIÓN (gs). LAS CÉLULAS ESTÁN UNIDAS ÍNTIMAMENTE POR DESMOSOMAS (d). MICROSCOPIA ELECTRÓNICA. MAGNIFICACIÓN ORIGINAL X25000.