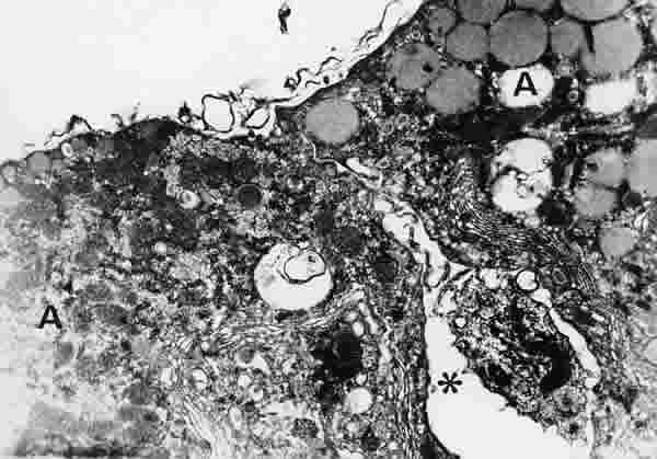
Figura 35

BIOPSIA EN UN PACIENTE CON SS1-GRADO II. LAS CÉLULAS ACINARES (A) ESTÁN BASTANTE SEPARADAS ENTRE SÍ (*). LA SUPERFICIE CELULAR NO POSEE MICROVELLOSIDADES. LAS CÉLULAS TIENEN UN MODERADO NÚMERO DE ORGÁNULOS SUBCELULARES PERO CON ESCASOS GRÁNULOS DE SECRECIÓN (gs). MICROSCOPIA ELECTRÓNICA. MAGNIFICACIÓN ORIGINAL X8000.