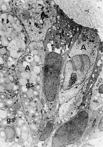
Figura 37

BIOPSIA EN UN PACIENTE CON SS1-GRADO II. LAS CÉLULAS ACINARES (A) SON GENERALMENTE MUY ALARGADAS. LA MAYORÍA DE ELLAS TIENEN POCOS ORGÁNULOS SUBCELULARES Y ESCASO NÚMERO DE GRÁNULOS DE SECRECIÓN (gs). EN OTRAS CÉLULAS ES FRECUENTE OBSERVAR GRÁNULOS DE SECRECIÓN CON EL CENTRO VACÍO (*). LOS NÚCLEOS SUELEN PRESENTAR INVAGINACIONES (FLECHA ARRIBA). MICROSCOPIA ELECTRÓNICA. MAGNIFICACIÓN ORIGINAL X3000.