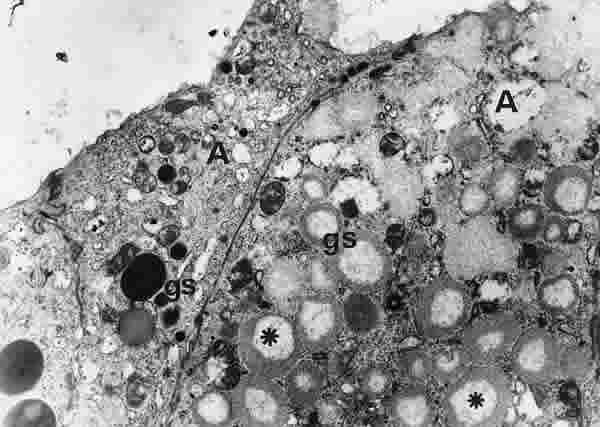
Figura 38

BIOPSIA EN UN PACIENTE CON SS1-GRADO III. LOS GRÁNULOS DE SECRECIÓN (gs) EN LAS CÉLULAS ACINARES (A) SUELEN ESTAR VACÍOS (*). EN LAS POCAS CÉLULAS QUE NO PRESENTAN ESTA CARACTERÍSTICA ES FRECUENTE OBSERVAR GRÁNULOS DE SECRECIÓN MUY HETEROGÉNEOS. MICROSCOPIA ELECTRÓNICA. MAGNIFICACIÓN ORIGINAL X6000.