CASOS CLÍNICOS

Tatuaje corneal intraestromal

Dres. Peris Martínez C1, Navea Tejerina A2, Díaz-Llopis M3, Menezo JL4

(1) Licenciado en Medicina y Cirugía. Médico Residente. Servicio de Oftalmología. Hospital Universitario La Fe. Valencia.
(2) Doctor en Medicina. Médico Adjunto. Servicio de Oftalmología. Hospital Universitario La Fe. Valencia.
(3) Doctor en Medicina y Cirugía. Profesor de la Universidad del País Vasco.
(4) Jefe de Servicio. Servicio de Oftalmología. Hospital Universitario La Fe. Valencia. Catedrático de Oftalmología de la Universidad de Valencia.


Introducción

El tatuaje corneal ha sido utilizado durante siglos para el tratamiento de las opacidades corneales (1). Galeno (131-210 antes de Cristo) fue el primero en tatuar una córnea usando sulfato de cobre reducido para colorear un leucoma corneal (2). Posteriormente la queratopigmentación ganó popularidad y varios productos químicos como la tinta India, polvos metálicos, tinciones orgánicas, pigmento uveal de ojos de animal, una combinación de tinta china y polvo de oro, hollín,... .fueron utilizados (3). Para obtener colores de diferentes tonalidades se han utilizado diferentes combinaciones de productos químicos. Actualmente esta técnica sigue vigente para el tratamiento de pacientes con leucomas que no pueden recibir un transplante corneal y no toleran las lentes de contacto cosméticas.


Caso clínico

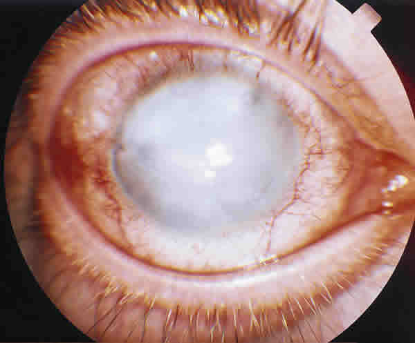
Presentamos el caso clínico de un paciente varón de 30 años con leucoma corneal total en su ojo izquierdo (OI) de origen desconocido (fig. 1). Iris de color marrón en el ojo contralateral (OD). La agudeza visual en el OI era de amaurosis, siendo la del derecho 20/20. Las lentes de contacto cosméticas no fueron bien toleradas, por ello se decidió tatuar la córnea con fines estéticos. Los colores utilizados fueron el negro para conformar la pupila y el sepia (marrón oscuro, similar al del ojo contralateral) para la tonalidad del iris. El procedimiento se realizó bajo anestesia tópica, con 2 gotas de colircusí anestésico doble® (1 mg de tetracaína clorhidrato y 4 mg de oxibuprocaína clorhidrato), espaciadas 10 minutos antes del tratamiento. No fue necesario remover el epitelio corneal con alcohol.

f08-01.jpg (13950 bytes) 
Fig. 1.
Leucoma corneal total previo a la queratopigmentación. Ojo derecho.

El paciente fue tratado en 3 sesiones, separadas por un intervalo de 1 mes. Tras colocar un blefarostato tipo Barraquer, delimitamos el área pupilar central con un marcador de queratotomía radial de 4 mm. El área pupilar fue teñida mediante tinta china negra, dentro del perímetro señalado por el marcador de queratotomía. Tinta china de color sepia fue utilizada para simular el iris. La tinta china comercializada (Pelikan®) fue esterilizada haciéndola pasar a través de un filtro de milipore de 22 micras y realizando el procedimiento bajo campana de flujo laminar. Antes de utilizar los pigmentos, empaquetados en contenedores de cristal de 10 ml con tapadera de plástico, se introdujeron en autoclave. Una vez esterilizados los colorantes, se puncionaban dentro del estroma corneal anterior utilizando una aguja de 30 gauges. En cada una de las sesiones realizamos 50 ó 60 punturas. Durante el procedimiento se procedía a la irrigación y secado repetido de la superficie ocular, con hemostetas de celulosa, ya que es importante cerciorarse de que la cantidad de tinta queda introducida verdaderamente en el estroma, y no del simple acúmulo de pigmentos sobre la superficie corneal anterior. Es importante tener en cuenta el efecto de lavado de color que ocurre durante el procedimiento, y por tanto generalmente debemos intentar obtener una coloración más oscura que el efecto final deseado.

Al finalizar el procedimiento instilábamos una gota de ciclopléjico. Asimismo, tras cada sesión, el paciente era tratado profilácticamente con una gota de colirio antibiótico y de anti-inflamatorio no esteroideo, para prevenir la infección y minimizar el disconfort de las primeras 48 horas. Éste es el aspecto cosmético que presenta el paciente una hora tras el procedimiento (fig. 2), con una apariencia aceptable. A los seis meses tras la última sesión el pigmento marrón se había aclarado un poco, pero el paciente estaba satisfecho con los resultados (fig. 3).

f08-02.jpg (16799 bytes) 
Fig. 2.
Aspecto de la superficie ocular anterior tras la 1.ª sesión de tatuaje. Nótese el área central correspondiente al área pupilar negra y las manchas marrones periféricas que intentan simular el iris marrón. Ojo derecho.

f08-03.jpg (12930 bytes) 
Fig. 3.
Resultado final del paciente tras 3 sesiones de tratamiento y 6 meses de seguimiento. Nótese el buen efecto cosmético.

  

Discusión

La técnica de la querato-pigmentación es utilizada de forma poco frecuente, sin embargo es muy útil en pacientes seleccionados. Las indicaciones actuales para el tatuaje corneal incluyen, a) conseguir buenos efectos cosméticos en leucomas corneales y b) cubrir los colobomas de iris traumáticos (4) y aniridias (5,6) que producen deslumbramiento o diplopía, en pacientes que no toleran lentes de contacto cosméticas, y donde no está indicado el transplante corneal. Dos técnicas fundamentalmente han sido empleadas en el tatuaje corneal (7), la primera consiste en la tinción de la superficie anterior corneal y la segunda en introducir el pigmento directamente en el estroma corneal mediante la micropunción con agujas. Ambos procedimientos tienen limitaciones, mientras el tatuaje aplicado sobre la cara anterior corneal tiene poca duración, el tatuaje introducido en el estroma puede retenerse durante períodos de tiempo más largos, pero requiere repetidos retratamientos, porque con el tiempo los pigmentos se decoloran (8,9). Otras complicaciones potenciales son las infecciones, el paso inadvertido de perforación corneal durante la intervención, uveítis y la pobre cicatrización (1,7). En nuestro caso la esterilización se confirmó cultivando los pigmentos y observando el crecimiento de microorganismos. Ningún microorganismo fue encontrado. Tampoco se observó ningún signo clínico de conjuntivitis ni de otro tipo de infección a lo largo del seguimiento durante 6 meses.

La necesidad del tatuaje corneal ha disminuido con la mejoría de los resultados de la queratoplastia, y también con la disponibilidad de lentes de contacto terapéuticas. Las lentes de contacto con óptica central transparente y opacificación periférica pueden ser utilizadas para prevenir el deslumbramiento en ojos con déficit de iris, mientras que las de zona óptica opaca son utilizadas con efectos cosméticos exclusivamente (4,5). No obstante, para pacientes que no toleran las lentes de contacto, como era el caso de nuestro paciente, y desean mejorar su aspecto o evitar los problemas de deslumbramiento, el tatuaje corneal puede ser una alternativa a tener en cuenta. El tatuaje también elimina la necesidad de limpieza y el riesgo de infección inherente al uso de lentes de contacto. Aunque muchos oftalmólogos consideran que es un procedimiento obsoleto, creemos que puede ser muy satisfactorio, en pacientes bin seleccionados, tanto con fines cosméticos como para evitar el deslumbramiento y la diplopía. Con los materiales empleados podemos observar a lo largo del tiempo la mayor estabilidad del pigmento negro respecto al marrón que se decoloraba con mayor facilidad y requirió más micropunciones. Sólo hizo falta una sesión de coloración pupilar mediante tinta negra (1.ª sesión). Por otro lado la tinta china marrón para la coloración del iris se aplicó en las tres sesiones, en nuestro caso, para conseguir la coloración estable deseada. Haría falta estudios más a largo plazo y de largas series para valorar la estabilidad de los resultados a largo plazo.

  

Resumen

El tatuaje corneal es un método muy antiguo para el tratamiento de las opacidades corneales. Las indicaciones oftalmológicas actuales más comunes son el buscar un efecto cosmético y el cierre de colobomas iridianos para mejorar la calidad de la visión. Presentamos el caso de un varón adulto con leucoma corneal total de origen desconocido, y amaurosis, que fue sometido a tatuaje corneal con tinta china. Mostramos los resultados de la técnica de coloración intra-estromal por punciones, a medio plazo.

  

Palabras clave

Tatuaje corneal, tinta china, pigmento negro, pigmento marrón.

  

Summary

Corneal tattooing is an ancient method for corneal opacities treatment. Today the most important ophthalmological uses are the cosmethic effect and the cover of iris colobomas in order to improve visual quality. We present the case of an adult man, with a complete corneal leucoma, unknown cause, and amaurosis, in his right eye, who was tattoed with chinese ink. We show the results of the procedure, mid-term, of corneal estromal punch-dying.

  

Key words

Corneal tattooing, Chinese ink, black pigment, brown pigment.


Bibliografía


  1. Mannis MJ, Eghbali K, Schwab IR. Keratopigmentation: A review of corneal tattooing. Cornea 1999; 18: 633-637.

  2. Holth S. Revival of Galen’s corneal staining with coppersulfate and tannine should be abandoned. Am J Ophthalmol 1931; 14: 378-379.

  3. Van der Velden-Samdeerubun EM, Kok Jhc. Dermatography as a modern treatment for coloring leucoma corneae. Cornea 1994; 13: 349-353.

  4. Reed JW. Corneal tattooing to reduce glare in cases of traumatic iris loss. Cornea 1994ñ 13: 401-405.

  5. Sundmacher R, Reinhard T, Althaus C. Black-diaphragm intraocular lens for correction of aniridia. Ophthalmic Surgery March 1994; 25: 180-185.

  6. Beekhuis WH, Drost B, Van der Velden-Samderubun EM. A new treatment for photophobia in Postraumatic aniridia: a case report. Cornea 1998; 17: 338-341.

  7. Burris TE, Holmes-Higgin DK, Silvestrini TA. Lamellar intra-estromal corneal tattoo for treating iris defect (artificial iris). Cornea 1998; 17: 163-169.

  8. Van der Velden-Samderubun EM, Beekhuis WH, Drost BH, Den Dulk LD. Treating Iris Defects ASCRS and ESCRS 1999.

  9. Van der Velden-Samderubun EM, Kok JH, Den Dulk LD. Corneal tattooing. Cornea 1995; 14: 225.