SEMINARIO DE CASOS CLÍNICOS


Úlceras corneales por Bacillus sp.

COLÁS-TOMÁS T1, SÁENZ-MADRAZO N2, SARMIENTO-TORRES B2, ESPINO-GARCÍA A1, SEOANE-PRIETO R1, ALONSO-PORRES MJ1

Servicio de Oftalmología. Hospital 12 de Octubre. Universidad Complutense. Madrid. España.
1 Licenciado en Medicina.
3 Doctor en Medicina.


RESUMEN

Introducción: Las úlceras corneales por Bacillus son muy infrecuentes. Se deben sospechar en pacientes inmunodeprimidos o en casos de antecedente traumático con cuerpo extraño vegetal o metálico, o en portadores de lentillas.

Casos clínicos: Se presentan los casos clínicos de dos varones VIH + que presentaban úlceras corneales de aspecto abigarrado, que inicialmente fueron tratadas con colirios reforzados de vancomicina y aminoglucósido. Se aisló Bacillus en ambos casos y se determinó su sensibilidad a antibióticos. Ello permitió una resolución satisfactoria en ambos pacientes.

Conclusiones: Una adecuada terapia antibiótica suele ser efectiva en el caso de úlceras corneales causadas por Bacillus, a pesar de tratarse de un microorganismo inusual y agresivo.

Palabras clave: Úlcera corneal, Bacillus.


INTRODUCCIÓN

Los bacillus sp son bacterias gram positivas aeróbicas o anaeróbicas facultativas, formadoras de esporas altamente resistentes al calor y a muchos tipos de desinfectantes químicos. La mayoría de las especies son saprófitas del medio ambiente, pero otras son oportunistas o patógenos obligados de animales, incluido el ser humano. Son una causa infrecuente de endoftalmitis y más aún de úlceras corneales, siendo el bacillus cereus el patógeno del género más común y probablemente uno de los agentes más agresivos de los organismos que afectan al ojo.

Presentamos dos casos clínicos de úlceras corneales por Bacillus sp.

  

CASO 1

Varón de 39 años, que acude a urgencias por dolor en ojo derecho (OD) de un mes de evolución. No refiere traumatismo con cuerpo extraño. Es VIH + (sin tratamiento con terapia antirretroviral) y en tratamiento con metadona desde hace 4 meses. Como antecedentes oftalmológicos refiere un episodio de queratitis herpética en OD. La agudeza visual (AV) era de movimiento de manos en OD y 0,8 en ojo izquierdo (OI).

En la exploración biomicroscópica del OD, presenta gran hiperemia conjuntival ciliar con úlcera corneal paracentral inferior e infiltrado estromal y endotelial. El Tyndall no fue valorable por la opacidad corneal pero se observa hipopión de 1 mm en cámara anterior (fig. 1). El fondo de ojo tampoco fue valorable.


Fig. 1: Úlcera corneal paracentral inferior con infiltrado estromal y endotelial e hipopiòn de 1 mm en càmara anterior.

Se realizaron raspados corneales para cultivo de bacterias, hongos y virus. Dadas la características de la úlcera, se pautó tratamiento antibiótico empírico según el protocolo de nuestro hospital (colirio fortificado de vancomicina 33 mg/ml + colirio fortificado de amikacina 33 mg/ml alternándose cada hora), colirio ciclopléjico cada 8 h y metamizol v.o cada 8 h. Dados los antecedentes de queratitis herpética del paciente se añadió al tratamiento famciclovir v.o 750 mg cada 24 h.

A los 3 días los resultados microbiológicos fueron positivos para Bacillus Cereus sensible a vancomicina. Se retiró del tratamiento el famciclovir y el colirio fortificado de amikacina, y debido a los antecedentes personales del paciente, se decidió añadir ciprofloxacino oral 200 mg cada 12 h al fortificado de vancomicina ya pautado.

A los 12 días se suspende el tratamiento, con buena resolución del cuadro, quedando un leucoma residual, precipitados endoteliales finos en 1/3 inferior (fig. 2) y una AV en OD de 0,5.


Fig. 2: Leucoma residual a los 12 días del tratamiento.

  

CASO 2

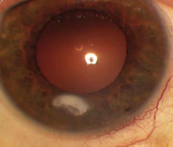
Varón de 44 años de edad que acude a urgencias por dolor en OD de 4 días de evolución. Es VIH +, VHC +, VHB + y adicto a drogas por vía parenteral. No refiere traumatismo con cuerpo extraño ni antecedentes oftalmológicos de interés. Su AV era de 0,1 en OD y 0,8 en OI. En la exploración biomicroscópica del OD presenta gran hiperemia conjuntival ciliar inferior y úlcera corneal paracentral inferior de aproximadamente 0,4 cm de diámetro, de color blanquecino, con discreto adelgazamiento en la zona inferior. Se observa Tyndall ++. En la exploración funduscópica no se encontraron alteraciones significativas.

Se realizaron raspados corneales para cultivo de bacterias, hongos y virus. Al no considerarse una úlcera con características de gravedad, se pautó tratamiento antibiótico con colirio comercial de ofloxacino 1 gota cada 2 horas y colirio ciclopléjico cada 8 horas. En la revisión a los 2 días siguientes, la úlcera había aumentado de tamaño (0,6 cm de diámetro), y el adelgazamiento era mayor, alcanzando la zona central. Se observa la aparición de hipopión de 0,5 mm en cámara anterior y edema corneal perilesional (fig. 3). Se cambia el tratamiento pautándose de forma empírica un colirio fortificado de vancomicina 33 mg/ml y colirio comercial de tobramicina + dexametasona alternándose cada 2 horas. A los cinco días los resultados microbiológicos fueron positivos para Bacillus Cereus sp sensible a vancomicina. La úlcera presentaba bordes más delimitados y el hipopión había desaparecido. Se retiró la tobramicina y se continuó con pauta descendente de corticoides y colirio fortificado de vancomicina, con buena resolución del cuadro y AV en OD de 0,8 (fig. 4).


Fig. 3: Úlcera corneal adelgazada con edema estromal perilesional e hipopión de 0,5 mm en cámara anterior.


Fig. 4: Leucoma residual una vez finalizado el tratamiento.

  

DISCUSIÓN

Las endoftalmitis postraumáticas causadas por Bacillus han sido descritas con frecuencia en la literatura, sin embargo hay muy pocos casos publicados donde sean la causa de úlceras corneales (1-4). Se estima que aproximadamente el 1,4-2% de las úlceras corneales se deban a infecciones por Bacillus (1).

Normalmente suelen aparecer cuando hay factores de riesgo asociados, siendo el traumatismo con cuerpos extraños vegetales o metálicos el antecedente más frecuente. También se han descrito algunos casos en pacientes portadores de lentes de contacto causados principalmente por contaminación del estuche de éstas. Sólo en un artículo donde se publica la serie más larga de queratitis por Bacillus (1), se asocian otros factores predisponentes como el lagoftalmos, la terapia con corticoides tópicos, patología corneal previa (queratopatía bullosa) o enfermedades sistémicas como la diabetes.

Se ha descrito una mayor susceptibilidad de infección por Bacillus en inmunodeprimidos (2). Hemos de recordar que nuestros dos pacientes eran VIH +. En ambos casos no se asociaba antecedente traumático o uso de lentillas, pero el paciente del caso 1 refería un episodio de queratopatía herpética.

La mayoría de las úlceras por Bacillus descritas son centrales o paracentrales y afectan las capas estromales profundas. Ambos hallazgos suponen un peor pronóstico visual. El Bacillus Cereus, en particular, tiene la capacidad de producir toxinas (fosfolipasas, proteasas, hemolisinas, enterotoxinas) que producen una gran reacción inflamatoria, siendo característico un infiltrado anular que puede progresar rápidamente hacia la formación de un absceso y posterior perforación corneal (2). Al igual que en los casos anteriormente publicados, nuestros pacientes presentaban úlceras paracentrales con infiltrado estromal profundo. En el caso 2 se observó una rápida progresión hacia la formación de un absceso con adelgazamiento central, evolución típica de las úlceras por Bacillus Cereus.

Los Bacillus son sensibles a la clindamicina, eritromicina, cloranfenicol, vancomicina y aminoglucósidos y han mostrado resistencia a las penicilinas, cefalosporinas y trimetoprim (2). En el artículo más recientemente publicado en el año 2001 (2) sobre queratitis por Bacillus se considera que la administración temprana de un aminoglucósido sólo o en combinación con otros antibióticos es un tratamiento adecuado para las úlceras por estos patógenos. Sin embargo en la serie más larga publicada de queratitis por Bacillus, se considera también como tratamiento efectivo de primera línea la monoterapia con fluorquinolonas (encontrando una sensibilidad del 100% para la gentamicina, del 93,75% para el ciprofloxacino y norfloxacino, del 87,5% para el cloranfenicol y del 62,5% para la cefazolina) (1). En nuestro segundo caso el inicio del tratamiento con ofloxacino como único antibiótico no resultó eficaz, siendo necesaria su sustitución por vancomicina y un aminoglucósido para su resolución.

  

CONCLUSIONES

Las úlceras corneales por Bacillus son muy infrecuentes. Se deben sospechar en pacientes inmunodeprimidos o en casos de antecedente traumático con cuerpo extraño vegetal o metálico, o en portadores de lentillas.

Una temprana y adecuada terapia antibiótica suele ser efectiva, y generalmente se consigue una satisfactoria resolución del cuadro.


BIBLIOGRAFÍA


  1. Choudhuri KK, Sharma S, Garg P, Rao GN. Clinical and microbiological profile of bacillus keratitis. Cornea 2000; 19: 301-306.

  2. Pinna A, Sechi LA, Zannetti S, Usai D, Delogu G, Cappuccinelli P et al. Bacillus cereus keratitis associated with contact lens wear. Ophthalmology 2001; 108: 1830-1834.

  3. Donzis PB, Mondino BJ, Weissman BA. Bacillus keratitis associated with contaminated contact lens care systems. Am J Ophthalmol 1988; 105: 195-197.

  4. Van Bijsterveld OP, Richards RD. Bacillus infectious of the cornea. Arch Ophthal 1965; 74: 91-95.