REVISIÓN ACTUALIZADA
MINGO-BOTÍN D1, MUÑOZ-NEGRETE FJ2, MORCILLO-LAÍZ R
31
Licenciado en Medicina. Residente de Oftalmología 4.º año. Hospital Ramón y Cajal. Madrid.INTRODUCCIÓN
La evolución de la cirugía de catarata, desde la simple restauración de la transparencia de medios a la búsqueda de la emetropía mediante el implante de una lente intraocular por una incisión mínima, se ha acompañado de un aumento de las demandas y expectativas del paciente. Para optimizar el resultado visual y minimizar la dependencia de gafas debemos atender tanto al componente esférico como astigmático del defecto refractivo.
La precisión en el resultado esférico es cada vez mayor, gracias a la interferometría de coherencia parcial (IOL-Master) y las fórmulas de tercera y cuarta generación. Para abordar el tratamiento del astigmatismo preoperatorio, las opciones incluyen modificaciones en la incisión principal, queratotomías astigmáticas (limbares o corneales), procedimientos ablativos con láser y lentes intraoculares tóricas.
RAZONES PARA CORREGIR EL ASTIGMATISMO
Un 50% de la población mayor de 60 años presenta un astigmatismo mayor de 1D (1), y se estima que este es mayor de 1,5D entre un 15% y un 22% de los pacientes candidatos a cirugía de catarata (2,3). También es conocido que existe un cambio del astigmatismo corneal contra la regla con la edad (4), y cómo grados leves de astigmatismo miópico (conoide de Sturm ligeramente diferente de cero) podrían aumentar la profundidad de foco favoreciendo la visión lejana (con la regla) o cercana (contra la regla) (5). No está establecido el nivel de astigmatismo que debe considerarse clínicamente significativo, o susceptible de corrección quirúrgica, pero suele considerarse alrededor de las 0.5D (6).
Tras una intervención correcta, grados mayores de astigmatismo van a limitar la calidad visual en dos sentidos. Por un lado, la falta de foco introduce borrosidad, reduciendo la agudeza visual (AV) sin corrección. Por otro, la magnificación diferencial secundaria a la corrección en el plano de la gafa introduce distorsión e inclinación de las formas (1,6% y 0,4º por dioptría), aún más manifiesta en los astigmatismos oblicuos (7). Por el contrario, si el cilindro es añadido al plano corneal o cristaliniano, no se producirá una magnificación meridional significativa, ya que la distancia al vertex es nula.
Lentes tóricas
El uso de lentes intraoculares tóricas (LIO-T) se remonta a 1994, cuando Shimizu (8) publica los primeros resultados con el modelo NT-98B de Nidek. Desde entonces, muchas de las principales casas comerciales han ido desarrollando sus propios modelos de LIO-T, tanto fáquicas como pseudofáquicas.
Frente a los tratamientos sobre la córnea utilizados hasta ahora, las LIO-T no requieren cambios importantes en la técnica quirúrgica. La córnea no se modifica, con lo que se eliminan los riesgos asociados a las incisiones corneales, incluyendo el astigmatismo irregular o la regresión del efecto, y es un procedimiento reversible. Además, su predictibilidad no está ligada a la variabilidad de un nomograma y permiten corregir grados altos de astigmatismo mediante lentes personalizadas o combinaciones de estas o con otras técnicas. Sus limitaciones vendrán impuestas por su estabilidad frente a la rotación y nuestra capacidad para determinar el defecto refractivo a corregir, incluyendo en éste el astigmatismo que induzcamos durante la facoemulsificación.
La potencia cilíndrica expresada en estas lentes se refiere a su poder real en dioptrías (D), no a la cuantía de la corrección en el plano corneal. La efectividad del cilindro de la LIO dependerá de su posición dentro del ojo, la longitud axial y la potencia corneal. Cuanto más anterior se sitúe la lente, más corto sea el ojo y más plana su córnea, mayor será el efecto cilíndrico de la lente. Así, un ojo hipermétrope con una curvatura corneal baja requerirá una lente con menor cilindro que otro miope con Ks elevadas. Del mismo modo, una lente situada en sulcus con el cilindro en su cara anterior será más efectiva que otra en saco con el cilindro en la cara posterior.
PLAN QUIRÚRGICO
Cálculo de la lente
La potencia esférica de la lente se calcula de la manera habitual. El cálculo del cilindro de la LIO-T debe basarse en los valores queratométricos, no en la refracción manifiesta, ya que vamos a eliminar la contribución en ella del cristalino y la distancia al vértice. Es importante la abstención del uso de lentes de contacto al menos 1 a 2 semanas antes de la exploración y evitar el uso de anestesia tópica o lubricantes que puedan alterar la película lagrimal.
Existe controversia sobre el método a utilizar para la medida de la curvatura corneal. Mientras que la queratometría manual evalúa una mayor área de la córnea central (3,2 frente a 2,5 mm en la mayoría de los aparatos), la automática minimiza la dependencia del operador y aporta la rapidez necesaria ante un volumen elevado de pacientes. Aunque en el ensayo clínico de la FDA sobre la lente Acrysof Toric se requería el uso de la queratometría manual (9), los estudios realizados utilizando queratómetros automáticos han mostrado resultados similares. La mayoría de los autores aconsejan obtener al menos tres lecturas consistentes en potencia y eje con uno u otro instrumento (10), y acudir a la topografía en caso de disparidad. Además, el uso de la topografía corneal es muy recomendable para descartar astigmatismos irregulares u otras anomalías corneales relacionadas. Posiblemente para estos cálculos en el futuro se imponga el uso de la potencia corneal real aportada por el topógrafo, valorando curvatura anterior, posterior y espesor corneal.
Por último, en la determinación del cilindro corneal que vamos a corregir, debemos valorar el astigmatismo inducido por la cirugía (SIA), ya que aún siendo de escasa cuantía con las incisiones actuales, puede modificar la selección de la lente o su orientación. La mayoría de los programas de cálculo facilitados por las casas comerciales lo consideran (fig. 1).
Fig. 1: Hoja de resultados del programa de cálculo para la lente Acrysof toric.
Procedimiento
Previo a la cirugía es necesario marcar un eje de referencia para posicionar la lente. Este paso debe realizarse en la lámpara de hendidura, con la cabeza del paciente erguida y en posición primaria de la mirada para evitar errores por los posibles movimientos de torsión oculares en decúbito. Con un rotulador marcamos el eje horizontal (0-180º), vertical (90º) o directamente el eje previsto para el cilindro de la lente. Se ha descrito también el marcado con algunos impactos de láser Nd:YAG, con la ventaja de permanecer la marca inalterada hasta 24-48 horas (11).
Antes de comenzar, marcamos en limbo el eje en que colocaremos la lente utilizando un marcador como el de Mendez y tomando como referencia las marcas anteriores. La facoemulsificación se realiza de la manera habitual, emplazando la incisión principal en un eje previsto (si tuvimos en cuenta el astigmatismo que inducirá) o bien en el eje más curvo o en el meridiano horizontal para minimizar el SIA. Tras la expansión del saco capsular con viscoelástico (preferentemente cohesivo para facilitar su retirada), implantamos la lente acercando las marcas de su eje a la posición deseada. Para terminar, una vez extraído el viscoelástico alineamos definitivamente la lente con el eje marcado. Es importante aspirar todo el viscoelástico del saco capsular y no presurizar en exceso el ojo para evitar rotaciones (12).
Rotación
El principal requisito en una lente tórica es su estabilidad frente a la rotación. Según el teorema de Euler, válido tanto para LIO-T como para incisiones corneales, por cada grado que rotemos el cilindro que pensamos inducir, cambia su potencia un 3,3% (7). De este modo, con rotaciones de 5º, 10º ó 30º tendremos una pérdida del 16%, 33% ó 100% del efecto cilíndrico de la lente. Si la lente rota más de 30º añadirá astigmatismo al sistema óptico. Además, el cambio en el eje y la potencia del cilindro resultante aumentan a mayor potencia cilíndrica de la lente (13).
Los dos factores más importantes implicados en la rotación son la diferencia de tamaño lente-saco y la contracción del saco capsular. En un estudio retrospectivo, Ruhswurm (14) encontró una correlación significativa positiva entre la longitud axial, el diámetro capsular y la tasa de rotación. El diámetro del saco puede calcularse a partir de los datos biométricos (15) o estimarse restando 1mm del diámetro corneal horizontal, lo que puede pesar en la selección de la LIO-T. No deberían utilizarse lentes de pequeño diámetro (ej. Staar AA4203TF) cuando el diámetro corneal horizonal supera los 12,5 mm (7).
La rotación ocurre principalmente en el período postoperatorio precoz. Una vez que el saco se ha contraído y las cápsulas anterior y posterior se han fusionado (entre la primera y segunda semana), la rotación es poco probable. Por ello, es importante prestar atención a este hecho en las primeras visitas del seguimiento, con un exámen bajo midriasis. Si es necesaria la recolocación de la lente, se recomienda realizarla hacia la primera semana (16).
Por último, el diseño y material de la lente también parecen influir en su estabilidad. Chang, en un estudio comparativo, encontró más estables los hápticos abiertos (rotación media 3,35 ± 3,41º) que los de tipo plato (5,56 ± 8,49º) (17). Asimismo, la adhesión a la cápsula posterior es mejor en las lentes acrílicas que en las de silicona (18).
Se han ideado diferentes métodos para medir la rotación de la lente en el postoperatorio, mediante accesorios acoplados a la lámpara de hendidura o la comparación de fotografías digitales seriadas. La tabla 1 muestra algunos de los resultados publicados con diferentes tipos de lentes.

LIO TÓRICAS DISPONIBLES (TABLA 2)
Staar toric IOL® (AA4203TF/TL)
Fue la primera LIO-T aprobada por la FDA, en 1998, y ha sido la más ampliamente estudiada. Es una lente de silicona monobloque con hápticos tipo plato fenestrados (fig. 2). Tras haberse asociado con una rotación excesiva (14), al primer modelo (AA4230T), le siguieron dos nuevos diseños (AA4230TF/TL) con mayor diámetro y fenestraciones más grandes para favorecer la estabilidad frente a la rotación. Dispone de dos potencias cilíndricas, +2 y +3,5D, para corregir aproximadamente 1,4 y 2,3D en plano corneal, y el cálculo de la lente puede hacerse a través de la página web www.staartoric.com.

Fig. 2: Staar toric® (AA4203TL).
Diversos estudios, a pesar de sus diferentes criterios de inclusión, han mostrado una tasa de reducción del astigmatismo refractivo consistente, con agudezas visuales sin corrección (AVSC) superiores a 20/40 entre el 84 y 92% (19,20,21). A pesar de los pobres resultados en cuanto a rotación con el primer modelo (mayor de 20º en un 25%, con un 9,2% de reposicionamientos en el estudio de Sun), la introducción de la lente de mayor diámetro se ha acompañado de una mejoría significativa en su estabilidad, con un 72% dentro de 5º y un 90% menor de 10º (21). Además, esta posición no se modifica tras una capsulotomía posterior tardía con láser Nd:YAG (22).
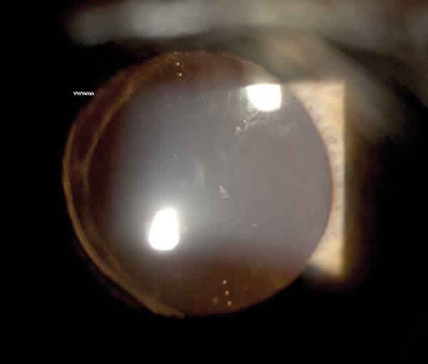
Acrysof toric®
(SN/SA60TT)Lente acrílica monobloque con hápticos en «L», desarrollada sobre la conocida plataforma Acrysof® de Alcon (fig. 3). Actualmente existen 3 modelos disponibles de 1,5, 2,25 y 3D (T3/T4/T5), que corrigen aproximadamente 1,03, 1,55 y 2,06 D en plano corneal, con (SN) o sin (SA) filtro para luz azul. La elección de la lente puede hacerse a través del programa disponible en la página www.acrysoftoriccalculator.com donde, a partir de la queratometría, biometría, localización de la incisión y SIA obtenemos la lente apropiada, su eje y el astigmatismo residual estimado.
Fig. 3: Alcon Acrysof toric® (SN60TT), implantada a 100º.
El ensayo realizado para su aprobación por la FDA en 2005 (9) mostró unos resultados prometedores, que han sido posteriormente confirmados en varios estudios independientes. En el primero de ellos, Mendicute y colaboradores (16) obtienen una reducción del astigmatismo refractivo del 70%, con una AVSC media de 20/25 (93,3% superior a 20/40) y una rotación menor de 10º en el 97% de los ojos a los 3 meses (media 3,63º). Considerando la potencia de las lentes implantadas, esta rotación supone una pérdida aproximada de 0,25D de cilindro. Muy similares son los resultados obtenidos por Bauer (23), con un cilindro refractivo residual menor de 0,75D en el 74% de los ojos, partiendo de un astigmatismo cercano a 3D. Además, este autor destaca la correlación positiva existente entre el SIA (a nivel corneal) y el cilindro corneal preoperatorio, y atribuye parte del cilindro residual a posibles causas diferentes de la rotación, ya que esta es muy escasa.
Hill, mediante estudios teóricos centrados en esta lente, aborda estas dos cuestiones basándose en los datos queratométricos de una amplia muestra de pacientes con astigmatismos inferiores a 2,50D. En el primero (24), calcula el impacto de ignorar el SIA, que resulta estadística y clínicamente significativo, especialmente por el cambio producido en la elección de la LIO-T, aunque este impacto sería menor en el caso de astigmatismos contra la regla asociados a incisiones temporales. El segundo (25) evalúa la posibilidad de infra o sobrecorrección utilizando criterios más o menos agresivos en la selección de la lente. Concluye que, dado que la variabilidad inherente al SIA y la rotación tienden a disminuir la corrección conseguida por la LIO-T, una selección más rigurosa (cilindros más potentes para cada grado de astigmatismo) conllevaría un menor cilindro residual con una probabilidad insignificante de sobrecorrección.
MicroSil Toric® (MS6116TU, 614T, 714TPB)
La casa Human Optics comercializa tres diseños de LIO-T, con (-Y) o sin filtro azul, para implantación en saco (MS 6116TU / MS 6116T-Y), en sulcus (MS 614T / MS 614T-Y), y para piggy-back (MS 714TPB / MS 714TPB-Y). Son lentes plegables de 3 piezas con óptica de silicona y hápticos de PMMA en «C» para sulcus y en «Z» para saco, aserrados en su extremo para aumentar su estabilidad (fig. 4). Disponible con cilindros de 2 a 12D, en saltos de 1D, aunque pueden solicitarse otras potencias por encargo.
Fig. 4: MicroSil® MS 6116 TU (izquierda) y MS 614 T-Y para sulcus
(derecha).
Dada su capacidad para corregir astigmatismos altos, es fundamental una buena estabilidad en saco. En un estudio multicéntrico (28) sobre 64 ojos con un astigmatismo preoperatorio medio de 4,6D, consiguen una reducción del 74% con una rotación menor de 5º en el 85% de ellos. De Silva, con una rotación media de 5º, obtiene una reducción del 65% del astigmatismo preoperatorio y una AVSC mayor de 20/35 en el 79% de los ojos sin comorbilidad (29). Este autor destaca la dificultad de manejo de la lente dentro del saco y la necesidad de una incisión de 3,5 mm, aunque las especificaciones indican que puede implantarse a través de 2,8 mm.
Por sus características, estas lentes también se han utilizado para la corrección de astigmatismos elevados postquirúrgicos fáquicos, o pseudofáquicos mediante su implantación en sulcus. Así, en una serie de 11 ojos con un astigmatismo medio de 7D postqueratoplastia, Viestenz (30) consigue un cilindro residual de 1,63D y una AVSC media entorno a 0,5. En otro estudio similar, partiendo de un cilindro preoperatorio de 10D (rango 3,4-17,89D), este se reduce hasta 2,75D, alcanzando una AVSC media de 6/15 (31).
T-flex, M-Flex T y Sulcoflex toric® (Rayner)
Son lentes acrílicas hidrofílicas monobloque con hápticos abiertos, con óptica tórica monofocal (T-Flex), multifocal (M-Flex T), y para implantación en sulcus (Sulcofex toric). Los dos modelos para implantación en saco están basados en los diseños previos de Rayner para lentes esféricas (C-flex, Superflex), con óptica de borde cuadrado y hápticos AVH® para minimizar la opacificación capsular y favorecer la estabilidad y el centrado (fig. 5). Para ambas hay dos diámetros diferentes (573T/623T y 588F/638F). Las potencias estándar disponibles en esfera y cilindro varían para cada tipo de lente (+1 a +6D de cilindro en T-flex), y pueden solicitarse otras combinaciones personalizadas. El modelo multifocal presenta 4 ó 5 anillos refractivos y una adición de +3 o +4D, que supone aproximadamente +2,25 y +3D en plano de gafa respectivamente.
Fig. 5: Lentes T-flex®, Sulcofex toric® (abajo) y
M-flex-T® de Rayner (derecha).
Aún no existen estudios publicados acerca de los resultados con esta lente. Sin embargo, se han comunicado buenos resultados refractivos, con índices medios de rotación por debajo de 5º a los 3 y 6 meses (32,33).
Acri.Comfort® (643TLC, 646TLC) y Acri.Lisa Toric® (Acri.Tec, Carl Zeiss Meditec)
Las dos lentes tóricas Acri.Comfort se caracterizan por su óptica asférica bitórica (cilindro repartido entre sus caras anterior y posterior) con el propósito de mejorar la calidad de imagen. Ambas son acrílicas monobloque y plegables (fig. 6). El modelo 643TLC presenta una óptica ligeramente más grande con tres hápticos, y requiere una incisión de al menos 2,2 mm, mientras que la lente 646TLC (antes Acri.Smart 646TLC) tiene diseño tipo plato y puede implatarse a través de incisiones de MICS de 1,5-1,7mm. La lente Acri.Lisa Toric combina una óptica anterior asférica-tórica y posterior asférica-bifocal difractiva (adición +3,75D, distribución lejos/cerca 2:1) sobre la plataforma Acri.Smart para uso en cirugía microincisional. El rango dióptrico para el cilindro va de +1 a +12D en todas ellas.
Fig. 6: De arriba abajo: Acri.Comfort 643TLC®, Acri.Comfort
646TLC® y AT.Lisa Toric 466TD®.
Estas son las únicas LIO-T diseñadas para microincisión, con la ventaja teórica de reducir el SIA incisional al mínimo. En un trabajo sobre 30 ojos con astigmatismos preoperatorios entre 2,5 y 9,5D intervenidos mediante MICS (34) utilizando la lente Acri.comfort 646TLC, comunican un índice de corrección (relación entre la inducción de astigmatismo pretendida y obtenida) de 1,01 ± 0,08, con una rotación inferior a 10º en el 98% de los casos. Aún faltan estudios que confirmen las buenas expectativas respecto a la eficacia y seguridad de estas lentes.
LIO tóricas fáquicas (tabla 3)
Existen dos LIO-T fáquicas, diseñadas para la corrección de altos defectos refractivos esféricos abordando al mismo tiempo el componente astigmático sin necesidad de recurrir a procedimientos combinados, en pacientes que aún conservan capacidad acomodativa.

La Visian toric ICL® (Staar) es una lente acrílica plegable (incisión 3-3,5 mm) con diseño tipo plato con «vault» integrado para implantación en sulcus (fig. 7). En Europa está aprobada para la corrección de miopía entre -4 y -20D con astigmatismos por debajo de 4D, y sujeta a los mismos requerimientos que la ICL esférica, incluyendo una profundidad de cámara anterior (ACD) mínima de 2,8 mm. En el estudio de la FDA (35), al año el 83% de los pacientes alcanzaron una AVSC mayor o igual a la unidad, tras una reducción media del astigmatismo refractivo del 76% con una rotación de 2,2 ± 5,5º. De los 210 ojos, 2 requirieron recolocación y 3 explantación de la lente.
Fig. 7: Visian TICL® de Staar.
La lente Artisan/Verisyse toric® (Ophtec/AMO) está basada en el diseño previo no tórico para anclaje a iris en cámara anterior y tiene los mismos criterios de selección. Fabricada en PMMA, requiere una incisión de 5,5 mm para su inserción. Existen dos modelos, con el cilindro a 90º o a 0º para astigmatismos a favor o en contra de la regla respectivamente. La seguridad, predictibilidad y eficacia de estas lentes ha sido ampliamente estudiada. En el estudio de Güell (36), con un segumiento de 3 años sobre 84 ojos implantados con esta lente, el 65% obtuvieron una AVSC mayor o igual a 20/40, con un 81% dentro de 1D de la emetropía. Sólo 5 ojos (5,95%) requirieron una cirugía refractiva corneal adicional, frente al 35,5% en el grupo de lentes de esféricas del mismo estudio. Se recomienda realizar un contaje endotelial periódicamente, ya que se han descrito pérdidas entorno al 1,6-1,9% anual (37).
SITUACIONES ESPECIALES
Aunque actualmente se dispone de lentes de alta potencia cilíndrica, también se han utilizado combinaciones de LIO-T con otros procedimientos o mediante piggy-back para el manejo de astigmatismos altos. Así, Gills ha descrito tanto el uso de dos lentes Staar suturadas por sus fenestraciones (38), como su combinación con incisiones relajantes (39) con resultados satisfactorios.
Un subgrupo de astigmatismos elevados lo forman aquellos pacientes intervenidos de queratoplastia. Se han publicado varias series cortas de pacientes en esta modalidad, especialmente con la lente MicroSil MS6116TU (30,31), con importantes mejorías en astigmatismo refractivo y agudeza visual. En pacientes pseudofáquicos, se ha descrito también el uso de la versión para sulcus de esta lente (40) como un método sencillo y poco agresivo para mitigar este tipo de astigmatismos cuando no es posible mediante lentes de contacto. En fáquicos, la alternativa serían las lentes de fijación iridiana (41), con el inconveniente del posible daño endotelial asociado, o las lentes ICL tóricas de implantación en sulcus.
CONCLUSIÓN
Una proporción significativa de los pacientes sometidos a cirugía de catarata presentan niveles de astigmatismo clínicamente significativos. Hasta hace pocos años, su abordaje requería el uso combinado de técnicas incisionales, con las limitaciones que estas implican en cuanto a predictibilidad, potencia, estabilidad o accesibilidad. Con la introducción de las lentes intraoculares tóricas, y gracias a los avances en cuanto a estabilidad rotacional y potencias disponibles, actualmente es posible abordar con garantías y sin grandes cambios en la técnica quirúrgica todo el defecto esferocilídrico del paciente.
BIBLIOGRAFÍA
Vitale S, Ellwein L, Cotch MF, Ferris FL 3rd, Sperduto R. Prevalence of refractive error in the United States, 1999-2004. Arch Ophthalmol 2008; 126: 1111-9.
Hoffer KJ. Biometry of 7,500 cataractous eyes.AmJ Ophthalmol 1980; 90: 360-368.
Ninn-Pedersen K, Stenevi U, Ehinger B. Cataract patients in a defined Swedish population 1986-1990. II. Preoperative observations. Acta Ophthalmol (Copenh) 1994; 72: 10-15.
Gudmundsdottir E, et al. «With the rule» astigmatism is not the rule in the elderly. Reykjavik Eye Study: a population based study of refraction and visual acuity in citizens of Reykjavik 50 years and older. Iceland-Japan Co-Working Study Groups. Acta Ophthalmol Scand 2000; 78: 642-6.
Morlet N, Minassian D, Dart J. Astigmatism and the analysis of its surgical correction. Br J Ophthalmol 2001; 85: 1127-1138.
Nanavaty MA, Vasavada AR, Patel AS, Raj SM, Desai TH. Analysis of patients with good uncorrected distance and near vision after monofocal intraocular lens implantation. J Cataract Refract Surg 2006; 32: 1091-1097.
Novis C. Astigmatism and toric intraocular lenses. Curr Opin Ophthalmol 2000; 11: 47-50.
Shimizu K, Misawa A, Suzuki Y. Toric intraocular lenses: correcting astigmatism while controlling axis shift. J Cataract Refract Surg 1994; 20: 523-6.
Lane SS. The Acrysof Toric IOL’s FDA Trial results: a look at the clinical data. Cataract & Refractive Surgery Today 2006; May 66-68.
Pearls and practical tips on astigmatism management. A global survey on manual and auto-keratometric methods for successful toric iol implantation. Ophthalmology Times Europe. November 2008.
Álvarez-Rementería L. Comunicación Personal. Reunión Anual de la Sociedad Oftalmológica de Madrid. Diciembre 2008.
Lorente R, Moreno C. Capítulo 21: Lentes tóricas. En: Cristóbal JA. Corrección del astigmatismo. Madrid: Sociedad española de Cirugía Ocular Implanto-Refractiva; 2006.
Viestenz A, Seitz B, Langenbucher A. Evaluating the eye’s rotational stability during standard photography: effect on determining the axial orientation of toric intraocular lenses. J Cataract Refract Surg 2005; 31: 557-61.
Ruhswurm I, Scholz U, Zehetmayer M, Hanselmayer G, Vass C, Skorpik C. Astigmatism correction with a foldable toric intraocular lens in cataract patients. J Cataract Refract Surg 2000; 26: 1022-1027.
Vass C, Menapace R, Schmetterer K, Findl O, Rainer G, Steineck I. Prediction of pseudophakic capsular bag diameter based on biometric variables. J Cataract Refract Surg 1999; 25: 1376-81.
Mendicute J, Irigoyen C, Aramberri J, Ondarra A, Montes-Micó R. Foldable toric intraocular lens for astigmatism correction in cataract patients. J Cataract Refract Surg 2008; 34: 601-607.
Chang D. Comparative rotational stability of single-piece open-loop acrylic and plate-haptic silicone toric intraocular lenses. J Cataract Refract Surg 2008; 34: 1842-1847.
Oshika T, Nagata T, Ishii Y. Adhesion of lens capsule to intraocular lenses of polymethylmethacrylate, silicone, and acrylic foldable materials: an experimental study.
Sun XY,et al.Toric Intraocular Lenses for Correcting Astigmatism in 130 Eyes. Ophthalmology 2000; 107: 1776-1782.
Till JS, Yoder PR Jr, Wilcox TK, Spielman JL. Toric intraocular lens implantation: 100 consecutive cases. J Cataract Refract Surg 2002; 28: 295-301.
Chang D. Early rotational stability of the longer Staar toric intraocular lens fifty consecutive cases. J Cataract Refract Surg 2003; 29: 935-940.
Jampaulo M, Olson M, Miller K. Long-term Staar Toric Intraocular Lens Rotational Stability. Am J Ophthalmol 2008; 146: 550-553.
Bauer NJ, de Vries NE, MD, Webers CA, Hendrikse F, Nuijts RM. Astigmatism management in cataract surgery with the AcrySof toric intraocular lens. J Cataract Refract Surg 2008; 34: 1483-1488.
Hill W. Expected effects of surgically induced astigmatism on AcrySof toric intraocular lens results. J Cataract Refract Surg 2008; 34: 364-367.
Hill W, Potvin R. Monte Carlo simulation of expected outcomes with the AcrySof® toric intraocular lens. BMC Ophthalmology 2008, 8: 22.
Weinand F, et al. Rotational stability of a single-piece hydrophobic acrylic intraocular lens: New method for high-precision rotation control. J Cataract Refract Surg 2007; 33: 800-803.
Zuberbuhler B, Signer T, Gale R, Haefliger E. Rotational stability of the AcrySof SA60TT toric intraocular lenses: A cohort study. BMC Ophthalmology 2008, 8: 8.
Dick HB, Krummenauer F, Tröber L. Compensation of corneal astigmatism with toric intraocular lens: results of a multicentre study. Klin Monatsbl Augenheilkd. 2006; 223: 593-608
De Silva DJ, Ramkissoon YD, Bloom PA. Evaluation of a toric intraocular lens with a Z-haptic. J Cataract Refract Surg 2006; 32: 1492-8.
Viestenz A, Küchle M, Seitz B, Langenbucher A. Toric intraocular lenses for correction of persistent corneal astigmatism after penetrating keratoplasty. Ophthalmologe. 2005; 102: 148-52.
Kersey J, O’Donnell A, Illingworth D. Cataract Surgery With Toric Intraocular Lenses Can Optimize Uncorrected Postoperative Visual Acuity in Patients With Marked Corneal Astigmatism. Cornea 2007; 26: 133-135.
Harman F, Sim K, Bloom P, Lee N. Evaluation of the Rayner T-flex toric intraocular lens. Presentado en el XXV congreso de la ESCRS, Estocolmo, septiembre 2007.
Narendran R, Vyas A, Bacon P. Rotational stability of Rayner T-flex™ toric lens at 6 months: An analysis using a new technique. Presentado en el XXVI Congreso de la ESCRS, Berlín, septiembre 2008.
Pongo V, Ortiz D, Alio JL. Corrección del astigmatismo con la lente tórica Acri.Comfort 646 tlc (Acri.Tec). Presentado en el XXIII Congreso de la SEO, Sevilla, septiembre 2008.
Sanders D, Schneider D, Martin R,Brown D,Dulaney D,Vukich J, et al. Toric Implantable Collamer Lens for Moderate to High Myopic Astigmatism. Ophthalmology 2007; 114: 54-61.
Güell JL, Morral M, Gris O, Gaytan J, Sisquella M, Manero F. Five-Year Follow-up of 399 Phakic Artisan–Verisyse Implantation for Myopia, Hyperopia, and/or Astigmatism. Ophthalmology 2008; 115: 1002-1012.
Tehrani M, Dick B. Endothelial Cell Loss After Toric Iris-fi xated Phakic Intraocular Lens Implantation: Three-year Follow-up. J Refract Surg 2007; 23: 172-177.
Gills JP. Sutured piggyback toric intraocular lenses to correct high astigmatism. J Cataract Refract Surg 2003; 29: 402-404.
Gills JP, Van Der Karr M, Cherchio M. Combined toric intraocular lens implantation and relaxing incisions to reduce high preexisting astigmatism. J Cataract Refract Surg 2002; 28: 1585-1588.
Sauder G. Secondary toric intraocular lens implantation in pseudophakic eyes. The add-on IOL system. Ophthalmologe 2007; 104: 1041-1045
Tehrani M, Dick HB.Implantation of an ARTISAN toric phakic intraocular lens to correct high astigmatism after penetrating keratoplasty. Klin Monatsbl Augenheilkd 2002; 219: 159-63.