SEMINARIO DE CASOS CLÍNICOS


Lente tintada para afaquia en aniridia traumática

ARANDA YUS A1, DÍAZ COUCHOUD P2, VÁZQUEZ DORREGO X3

1 Licenciado en Medicina. Servicio de Oftalmología. Hospital Germans Trias i Pujol. Badalona. Barcelona. E-mail: albertoarandaj@hotmail.com
2 Licenciado en Medicina. Instituto Clínico de Oftalmología-Hospital Clínic i Provincial de Barcelona. Barcelona.
3 Licenciado en Medicina. Servicio de Oftalmología. Hospital Municipal de Badalona. Barcelona.


RESUMEN

Introducción: La queratotomía radial es una técnica refractiva que actualmente ha sido desbancada por la cirugía refractiva con láser. Una de sus complicaciones tardías es la posibilidad de perforación por alguna de las insiciones tras un traumatismo.

Caso clínico: Presentamos el caso clínico de un paciente sometido a queratotomía radial, que tras un traumatismo sobre su ojo izquierdo, quedó afáquico y con aniridia.

Discusión: Para el tratamiento de la la afaquia con aniridia traumática existen diferentes posibilidades terapéuticas con buen resultado funcional, dependiendo fundamentalmente del estado del polo posterior y la presión intraocular. Las dos opciones con las que contamos actualmente son la utilización de una lente de contacto estenopeica graduada, y si no es posible, la utilización de una lente tintada con diafragma con anclaje subescleral.

Palabras clave: Queratotomia radial, aniridia traumática.


CASO CLÍNICO

Paciente varón de 27 años que acude al servicio de urgencias tras traumatismo sobre ojo izquierdo (OI). El paciente refiere una disminución de la agudeza visual (AV) de su OI. Como antecedentes personales destacar que era VIH + en tratamiento antiviral y que se había sometido a una queratotomía radial (KR) en ambos ojos hacía 6 años.

A la exploración oftalmológica la AV corregida en ambos ojos era de 9/10 y PL en OD y OI respectivamente. En la exploración biomicroscópica del OI se constató hipotonía ocular, con hiperemia generalizada; Seidel (-), con ausencia de iris y cristalino. En el fondo de ojo de OI se observaba una hemorragia vítrea que impedía ver la retina. Se realizó una ecografía ocular y un TAC orbitario, pudiéndose constatar la ausencia de cristalino, con retina aplicada.

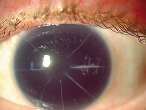
Se realizó una exploración quirúrgica, observándose una solución de continuidad en incisión temporal de la KR, realizándose cierre quirúrgico de la misma con nylon 10.0 y vitrectomía anterior por incarceraciones vítreas. El curso postoperatorio fue correcto, objetivándose un aumento de la PIO que fue resuelto con betabloqueantes tópicos. Se retiraron las suturas a los dos meses, con reabsorción de la hemorragia vítrea. A los cuatro meses se suspendió la medicación hipotensora tópica, observando que con una lente de + 11 D la AV OI era de 6/10 (figs. 1 y 2).

 
Figs. 1 y 2: Imagen con lámpara de hendidura de OI tras retirada de suturas a los 2 meses del traumatismo ocular.

Al año del traumatismo se implanta una LIO con iris artifical suturada en sulcus (OPHTEC HMK ANI 2 blue + 24 D) (fig. 3).


Fig. 3: Aspecto de OI al día siguiente de implantar LIO diafragmática suturada a sulcus.

Al día siguiente, la AV disminuye a 2/10 debido a una pequeña hemorragia vítrea que se resolvió espontáneamente. A los 2 meses se retiraron suturas, siendo la AV sin corrección de 7/10, manteniéndose tal AV en los controles sucesivos (fig. 4).


Fig. 4: Resultado final tras retirada de las suturas.

 

DISCUSIÓN

En la bibliografía podemos encontrar diferentes artículos que hacen referencia a las complicaciones tardías de la KR (1) (fotofobia, disminución de AV, leucomas corneales, infección...), y entre ellas la perforación corneal (2,3) a través de uno de los radios tras un traumatismo.

En esta comunicación presentamos un caso en el que un paciente sometido a KR hacía seis años, tras sufrir un traumatismo ocular quedó con afaquia y aniridia.Para el tratamiento de la aniriria traumática con afaquia existen diferentes posibilidades. La primera opción, siempre que sea posible, será el uso de una lentilla cosmética graduada (4). Esta línea de tratamiento, en ocasiones no es posible debido al disconfort del paciente, la existencia de cicatrices corneales o de una superficie corneal irregular. En nuestro caso, el paciente no toleraba las lentillas de contacto.

La siguiente opción es una lente intraocular graduada con diafragma especial para aniridia (5), que es lo que utilizamos en nuestro caso. Este tipo de lente, comporta una máxima agudeza visual sin corrección, ausencia de fotofobia y satisfacción del paciente. No obstante, también conlleva una serie de posibles complicaciones, a destacar los numerosos casos de inflamación intraocular prolongada y glaucomas secundarios difíciles de tratar. Además, para su utilización es necesario que el paciente no tenga problemas de tensión ocular; sin contar con la dificultad del anclaje subescleral (ausencia de saco capsular e iris) y el centraje de la lente, siendo habitual que deba reintervenirse al paciente para corregir posteriores descentramientos de la LIO.


BIBLIOGRAFÍA


  1. Basuk WL, Zisman M, Waring GO 3rd et al. Complications of hexagonal keratotomy. Am J Ophthalmol 1994 Jan 15; 117(1): 37-49.

  2. Babushkin AE, Zagidullina Ash. Contusion ruptures of the cornea after radial keratotomy. Vestn Oftalmol.2001 May-Jun; 117(3): 41-2.

  3. Sony P, Panda A, Pushker N.Traumatic corneal rupture 18 years after radial keratotomy. J Refract Surg. 2004 May-Jun; 20(3): 283-4.

  4. Chulze F. Iris reconstruction : surgery , laser or contact lenses with iris structure. Fortschr Ophthalmol 1991; 88(1): 30-4.

  5. Sundamacher R, Reinhard T, Althaus C: Black- diaphragm intraocular lens for correction of aniridia.Ophthalmic Surg 1994; 25: 180-185.