SEMINARIO DE CASOS CLÍNICOS


Escleritis necrotizante tras autotransplante conjuntival en cirugía de pterigium

MÉNDEZ-CEPEDA P1, MILLÁN-RODRÍGUEZ AC1, DIOS E2, SEVILLANO C1, LUGO E1

Servicio de Oftalmología. Hospital Provincial. Complexo Hospitalario de Pontevedra. España.
1 Licenciado en Medicina.
2 Doctor en Medicina.


RESUMEN

Introducción: La técnica de autotransplante conjuntival es el procedimiento de elección para el tratamiento del pterigium recidivado o primario avanzado, ya que las tasas de recurrencia son menores que con las técnicas excisionales simples. Entre las complicaciones posquirúgicas que pueden aparecer, la escleritis necrotizante está descrita sólo en dos casos en la literatura.

Caso clínico: Varón de 70 años, con pterigium en región nasal en ojo izquierdo, que es intervenido mediante técnica de autotransplante conjuntival. A las 4 semanas de la cirugía, el paciente inicia un cuadro de escleritis necrotizante, de etiología no infecciosa, que requiere tratamiento corticoesteroideo tópico y sistémico.

Palabras claves: Escleritis necrotizante, autotransplante conjuntival, pterigium.


INTRODUCCIÓN

La escleritis necrotizante es la forma más grave de las escleritis, habitualmente asociada a vasculitis sistémicas subyacentes, a infecciones o a traumatismos esclerales, principalmente después de cirugía (1).

Se presenta un caso de escleritis necrotizante no infecciosa asociada a cirugía de pterigium mediante autotransplante conjuntival, complicación sólo descrita en dos casos en la literatura (2,3).

  

CASO CLÍNICO

Varón de 70 años, con pterigium de 3,5 x 4,5 mm de afectación corneal y limbar, grado intermedio-carnoso, en región nasal en ojo izquierdo, que es intervenido mediante técnica de autotransplante conjuntival, sin quimioterapia ni radioterapia coadyuvante. En el postoperatorio se pauta rimexolona 1% y tobramicina 0.3% colirios cada cuatro horas, una combinación carbómero 0.25% - polivinil alcohol 0.5% cada 2-3 horas y carbómero 0.2% gel por las noches. A las dos semanas, se procede a la retirada de la sutura conjuntival, pautándose rimexolona 1% colirio en forma descendente y manteniendo la misma pauta lubricante.

A las 4 semanas de la cirugía, el paciente acude a Urgencias por ojo rojo y molestia ocular. La agudeza visual (AV) está conservada, y en el examen biomicroscópico se observa hiperemia conjuntival y epiescleral, más intensa en la región del autotransplante, siendo el resto de exploración normal. Se pauta pomada de eritromicina 0.5% cada 8 horas, rimexolona 1% cada 4 horas y lubricante.

Diez días más tarde, el paciente acude con dolor ocular intenso, marcada hiperemia conjuntival e inyección escleral mayor en la zona del autotrasplante. Se sospecha un cuadro de escleritis y se instaura tratamiento con indometacina oral 75 mgr al día, atropina 1% colirio cada 12 horas, dexametasona alcohol 0.1% cada 8 horas y lágrimas artificiales cada 3 horas.

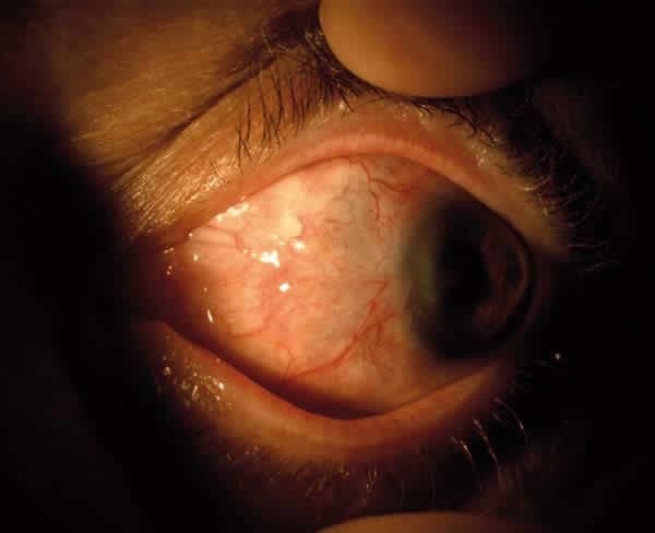
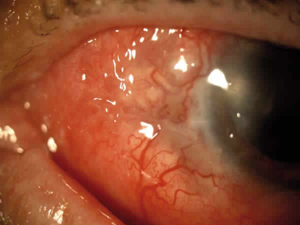
A los 2 días de iniciar este tratamiento, el cuadro de dolor había empeorado, observándose una zona avascular de 4x4 milímetros por debajo del autoinjerto, con reacción celular en cámara anterior, por lo que se diagnosticó escleritis necrotizante (figs. 1 y 2). En este momento, se tomaron muestras conjuntivales para estudio microbiológico de la región del autotransplante, y se sembraron en agar sangre, chocolate y sabouraud. Se solicitaron pruebas de imagen y analíticas y se pauta metilprednisoma 750 mg iv al día durante 3 días, moxifloxacino 400 mg vo al día, y tratamiento tópico con dexametasona alcohol 0.1% cada 3 horas y ciprofloxacino 0.3% cada 4 horas y atropina 1% cada 8 horas.


Fig. 1: Hiperemia conjuntival e inyección epiescleral.


Fig. 2: Zona avascular de 4x4 mm por debajo del autoinjerto.

A los 3 días se observa una gran mejoría subjetiva y objetiva del cuadro y se instaura terapia con prednisona oral 75 mgr al día por la mañana, dexametasona alcohol 0.1% cada 4 horas y atropina 1% colirio cada 12 horas .

Los resultados de las pruebas de imagen (radiografía de tórax) fueron normales, y los parámetros analíticos (FR, ANA, ANCA y VSG) fueron negativos. Asimismo, los cultivos fueron negativos.

Se continuó pauta descendente corticoesteroidea oral y tópica, con buena evolución del cuadro, con AV conservada 2 meses más tarde y con zona de adelgazamiento escleral visible (figs. 3 y 4).


Fig. 3: Zona de adelgazamiento escleral visible.


Fig. 4: Adelgazamiento escleral visible, 2 meses después del inicio del tratamiento.

  

DISCUSIÓN

Se ha observado que hasta un 96% de las escleritis posquirúrgicas son escleritis necrotizantes (4), teniendo la mayoría antecedentes de varias intervenciones quirúrgicas. Lo más frecuente es tras la cirugía de catarata a través de incisiones limbares, pero también se han descrito episodios de escleritis después de cirugías de retina, estrabismos, glaucoma, y hay algunos casos publicados de escleritis tras exéresis simple de pterigium (4). Sin embargo, sólo se han comunicado dos casos de escleritis necrotizante asociada a excisión de pterigium mediante técnica de autotransplante conjuntival (2,3).

Se ha sugerido que la etiología de la escleritis necrotizante posquirúrgica podría ser debida a una reacción de hipersensibilidad retardada en respuesta a un antígeno revelado o alterado por el trauma quirúrgico o a la isquemia que expone los antígenos de los tejido, sensibilizando el sistema inmune (4,5). En cualquier caso, el éxito de la terapia sistémica inmunosupresora, la presencia de inmunocomplejos en los vasos epiesclerales y la alta prevalencia de vasculitis entre estos pacientes, apoyaría la teoría de una etiopatogenia inmunitaria.

Sin el diagnóstico y tratamiento corticoesteroideo sistémico adecuado, la inflamación escleral puede asociarse a adelgazamiento escleral importante, e incluso perforación ocular asociada a traumatismos o incrementos importantes de la presión intraocular. Puede conllevar pérdida visual importante hasta en un 82% de los pacientes, asociada a queratitis ulcerativa periférica, uveítis y glaucoma (1).

En todos los casos debe realizarse un estudio de posibles enfermedades inmunitarias, ya que se ha visto que entre un 50% a un 81% de pacientes presenta un trastorno del tejido conectivo o vasculitis subyacente, más comúnmente granulomatosis de Wegener, artritis reumatoide o policondritis recidivante (1).

En estos casos de escleritis necrotizante severa, debe instaurarse terapia corticoesteroidea o incluso inmunosupresora sistémica, dependiendo de la cirugía intraocular previa. En nuestro caso, con terapia corticoesteroidea iv 3 días y posteriormente pauta corticoesteroidea oral se logró una rápida y adecuada mejoría, evitando complicaciones como adelgazamiento escleral importante, que obligan en estos casos a recurrir a tratamiento quirúrgico mediante injertos de esclera y/o membrana amniótica.

La escleritis necrotizante es una complicación infrecuente tras la cirugía de pterigium mediante autotransplante conjuntival, pero debe sospecharse y considerarse en el diagnóstico diferencial de un paciente con escleritis posquirúrgica. El diagnóstico precoz y la pronta instauración de terapia inmunosupresora sistémica pueden prevenir complicaciones potencialmente graves y evitar actuaciones quirúrgicas más agresivas.


BIBLIOGRAFÍA


  1. Dubé P. Schwam B.L. Raizman M.B. Scleritis. Kramer, Mannis, Holland. Cornea. Elsevier Mosby 2005. Vol 1: 1343-14.

  2. Vandana J, Debraj S, et al. Surgically induced necrotizing scleritis after pterygium surgery with conjuntival autograft. Cornea 2008; 27: 720-721.

  3. Sridhar MS, Bansal AK, Rao GN. Surgically induced necrotising scleritis after pterygium excision and conjunctival autograft. Cornea 2002; 21: 305-307.

  4. O’Donoghue E, Lightman S, Tuft S, et al. Surgically induced necrotizing sclerokeratitis-precipitating factors and response to treatment. Br J Ophthalmol 1992; 76: 17-21.

  5. Diaz-Valle D, Benitez del Castillo JM, Castillo A, et al. Immunologic and clinical evaluation of postsurgical necrotizing sclerocorneal ulceration. Cornea 1998; 17: 371-375.