SEMINARIO DE CASOS CLÍNICOS
FRAILE-MAYA J1, PALMERO-FERNÁNDEZ L1, PÉREZ-TRIGO S1, SANTOS-BUESO E2, SÁENZ-FRANCÉS F1, GIL DE BERNABÉ FJ2, GARCÍA-FEIJOÓ J2, GARCÍA-SÁNCHEZ J2
Unidad de
Neurooftalmología. Servicio de Oftalmología. Hospital Clínico Universitario San
Carlos. Madrid.
1
Licenciado en Medicina.
2
Doctor en Medicina.
RESUMEN
Introducción: El síndrome antifosfolípido (SAF) es una enfermedad autoinmune caracterizada por la producción de anticuerpos antifosfolípidos (AAF) cuyas manifestaciones clínicas como trombosis, abortos de repetición o trombocitopenia, son desencadenadas por el estado de hipercoagulabilidad. Existen dos formas de presentación, una primaria y otra secundaria a otros procesos como el lupus eritematoso sistémico (LES).
Caso clínico: Se presentan dos casos clínicos con edema de papila bilateral pero de patogenia total mente diferente. El primer caso se trata de un papiledema bilateral por hipertensión intracraneal idiopática en el contexto de un SAF secundario a LES. En el segundo caso el edema de papila bilateral con exudación lipídica y hemorragias peripapilares se desarrolló en el seno de un SAF primario.
Palabras clave: síndrome antifosfolípido; edema de papila; papiledema; hipertensión intracraneal benigna.
INTRODUCCIÓN
El Síndrome antifosfolípido (SAF) es una enfermedad autoinmune caracterizada por la producción de anticuerpos antifosfolípidos (AAF). Existen dos formas de presentación, una primaria y otra secundaria que se asocia a enfermedades autoinmunes. Esta última es la forma más frecuente, siendo el lupus eritematoso sistémico (LES) la enfermedad con la que se relaciona de forma más habitual.
Las manifestaciones clínicas son consecuencia del estado de hipercoagulabilidad inmune que supone este síndrome. Las trombosis, arteriales y/o venosas, los abortos de repetición y la trombocitopenia son características diagnósticas, considerándose junto con la presencia de AAF criterios diagnósticos mayores1 (tabla 1). Además de estas manifestaciones se han descrito muchas otras como migrañas, hipertensión intracraneal benigna, mielitis transversa y síndrome de Guillain-Barré2,3,4, debido a la acción de los AAF en los distintos órganos y a la patología tan variada con la que este síndrome se asocia.

CASO CLÍNICO N.º 1: PAPILEDEMA EN SAF SECUNDARIO
Mujer de 33 años que acudía a revisiones oftalmológicas periódicas desde hacía dos años por estar en tratamiento con hidroxicloroquina (400 mg al día) debido a LES.
Entre sus antecedentes personales sistémicos destacaban fibromialgia, LES y SAF asociado. Presentaba además heterocigosis para la mutación G20210A del gen de la protrombina y déficit de proteína S. No presentaba otros antecedentes personales sistémicos, oculares ni familiares de interés y no era alérgica a ningún fármaco.
En la exploración su agudeza visual (AV) era de 1 en ambos ojos (AO). La biomicroscopía de AO era normal y la presión intraocular (PIO) fue de 14 mmHg en AO. En la exploración funduscópica (FO) se objetivó edema de papila bilateral con gran tortuosidad vascular (fig. 1).
Fig. 1: Retinografía de ambos ojos. Se puede observar el edema
de papila bilateral, con los bordes difusos y mal delimitados.
Se realizó una tomografía óptica de coherencia (OCT) cuyo resultado fue un aumento en el grosor de las fibras del rodete neurorretiniano. También se realizó una angiografía fluoresceínica (AFG) en la que no se observaron fugas (fig. 2).
Fig. 2: Angiografía con fluoresceína. Caso n.º 1, en OD no se
observan fugas ni otras alteraciones. En OI tampoco se observan fugas ni otras
alteraciones.
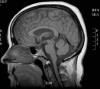
La exploración neurológica fue normal a excepción de una leve limitación de la abducción en el ojo derecho, por una posible afectación del VI par craneal derecho. La tomografía computerizada que se solicitó estuvo dentro de la normalidad y en la resonancia magnética (RM) se apreció el signo de la silla turca vacía, sin observarse ninguna lesión ocupante de espacio ni trombosis de senos venosos (fig. 3). En la punción lumbar la presión de apertura fue de 35 cm de H2O.
Fig. 3: Resonancia magnética nuclear en la que se observa el
signo de la silla turca vacía y el espacio correspondiente lleno de líquido.Fig.
2.
La paciente fue diagnosticada de hipertensión intracraneal idiopática o pseudotumor cerebro (PC) en el contexto de un SAF secundario a LES y se pautó tratamiento con acetazolamida para el PC, mejorando su clínica. Dada la presencia de SAF en el contexto de LES se pautó ácido acetilsalicílico a dosis antiagregantes (100 mg/día).
CASO CLÍNICO N.º 2: EDEMA DE PAPILA BILATERAL EN SAF PRIMARIO
Mujer de 30 años que acudió a la urgencia por visión borrosa de menos de 12 horas de evolución. No presentaba antecedentes personales oftalmológicos, generales ni familiares de interés, únicamente obesidad.
A la exploración presentaba una AV de 0,8 en AO. El polo anterior y la PIO se encontraban dentro de la normalidad. El FO presentaba un edema de papila bilateral, con exudación lipídica en AO y hemorragias peripapilares en el ojo derecho (OD) (fig. 4). La AFG mostraba fuga de contraste alrededor del nervio óptico en AO (fig. 5). En la perimetría automatizada (Humphrey 24.2) se observó una retracción concéntrica del campo visual bilateral, más acentuado en el ojo izquierdo (OI) (fig. 6).
Fig. 4: En la funduscopia se observa un edema de papila
bilateral asimétrico, con exudación lipídica peripapilar en AO y hemorragias en
OD.
Fig. 5: Caso n.º 2, en la AFG se observa fuga de contraste en
ambos ojos.
Fig. 6: retracción concéntrica del campo visual bilateral, más
acentuado en el ojo izquierdo (OI).
Para completar el estudio, se realizó una batería de pruebas complementarias incluyendo una exploración neurológica, un TAC y una RM cerebral, que fueron rigurosamente normales. La punción lumbar mostró una presión de apertura y composición del LCR dentro de la normalidad. Se le realizó una analítica con hemograma, bioquímica básica, VSG, hormonas tiroideas / paratiroideas, marcadores autoinmunes y serologías para VIH, lúes y tuberculosis, con resultados negativos a excepción de títulos altos de anticoagulante lúpico.
Ante estos resultados la paciente fue diagnosticada de SAF primario y fue remitida al Servicio de Reumatología, siendo tratada con AAS (325 mg cada 24 horas, vía oral) con buena evolución.
DISCUSIÓN
En el primer caso que presentamos, la paciente fue diagnosticada de papiledema producido por un pseudotumor cerebri en el contexto de un SAF secundario. El PC es una patología con una baja incidencia (1/100.000), aumentando en el grupo de mujeres jóvenes y obesas5. Muchos son los factores de riesgo asociados, como el sexo femenino, la edad reproductiva, la obesidad y como en nuestro caso el SAF. El diagnóstico de este cuadro se hace por exclusión, siguiendo los criterios de Dandy modificados6 (tabla 2). El paciente debe estar consciente y en alerta, presentar signos y síntomas de hipertensión intracraneal, presentar un examen neurológico normal a excepción de una parálisis del VI par, un líquido cefalorraquídeo (LCR) normal excepto por un incremento en la presión de apertura (>20 cm de agua en no obesos y >25 cm en obesos) y no tener deformidades ni obstrucciones en el sistema ventricular.

La relación del PC7,8 con el SAF posiblemente se deba a la acción de los AAF a nivel de la zona de drenaje del LCR, observándose en estos casos una disminución de la reabsorción del LCR cinco veces mayor. En otros casos de SAF se demuestra la presencia de trombosis9 de los senos venosos cerebrales al realizar una angiorresonancia de vasos intracraneales, origen de la hipertensión intracraneal.
En el segundo caso, la paciente acudió a urgencias por presentar visión borrosa. El hecho de tener un edema de papila bilateral aunque con evidente componente hemorrágico debe hacer pensar en un principio en un origen central, pero todas las exploraciones, incluidas pruebas de imagen, resultaron negativas por lo que se descartó dicha causa. Ante esta situación, debe pensarse en patología sistémica o en etiología local y bilateral, algo que realmente no es muy frecuente. Se realizó el diagnóstico diferencial entre etiología compresiva (tumor orbitario, enfermedad tiroidea, fístula carótido-cavernosa), etiología vascular inflamatoria (sarcoidosis, sífilis, lupus eritematoso sistémico, Behçet), síndromes de hiperviscosidad sanguínea (leucemia, linfoma, mieloma múltiple, policitemia, anemia de células falciformes, disproteinemias). Como todas las pruebas realizadas fueron negativas con excepción de los altos títulos de anticoagulante lúpico, se diagnosticó a la paciente de SAF primario, pues no tenía ninguna otra patología asociada. En estos casos los AAF, producen un estado de hipercoagulabilidad, que en nuestra paciente indujo oclusiones10-12 a nivel de la microcirculación de ambos nervios ópticos, produciendo una papiloflebitis bilateral como la que observamos en las imágenes (fig. 4), se observa edema de papila bilateral asociado a un gran componente hemorrágico peripapilar y exudación lipídica.
El SAF se puede presentar con diversas manifestaciones oculares, siendo la visión borrosa el síntoma ocular más frecuente, seguida por el ojo rojo y el dolor. En el segmento anterior podemos encontrar iritis, escleritis y queratitis filamentosas y en el polo posterior vasculitis retinianas, vitritis, desprendimiento de retina, escleritis posteriores y obstrucciones de la arteria central de la retina13.
CONCLUSIONES
En los dos casos que presentamos existe un título alto de anticuerpos antifosfolípidos. En el primer caso, estos anticuerpos actúan en la zona de drenaje del LCR, disminuyendo la absorción de este y produciendo un PC. En nuestro caso no había trombosis de los senos venosos, que puede ser otro mecanismo de producción de edema de papila. En el segundo caso, los anticuerpos inducen oclusiones en la microcirculación del nervio, de forma bilateral, algo poco frecuente pero posible ante situaciones de hipercoagulabilidad, por lo que vemos como una misma causa, el síndrome antifosfolípido, puede inducir la misma manifestación, edema de papila, a través de mecanismos diferentes.
Como conclusiones, la presencia de un papiledema bilateral asociado a una clínica sugerente en pacientes con SAF secundario a LES en los que las pruebas de imagen son completamente normales, debemos incluir en el diagnóstico diferencial el PC con independencia de su baja frecuencia. Un SAF primario puede provocar edema de papila como consecuencia de los microinfartos a nivel del nervio óptico, todo ello favorecido por un estado trombótico generalizado. Ante esta situación, debemos hacer un screening con todas aquellas patologías hematológicas pro-trombóticas.
En cuanto al tratamiento, decir, que básicamente podemos diferenciar dos estados, por un lado la profilaxis secundaria, es decir, los pacientes con SAF y fenómenos de trombosis arterial o venosa periférica (no se incluyen episodios cerebrales) donde el tratamiento básico es la anticoagulación oral, manteniendo un INR que debe oscilar entre 2-3 y 3-4 según los diferentes estudios, y por otra parte la profilaxis primaria, pacientes con SAF y sin las manifestaciones anteriores, en los cuales suele bastar una antiagregación con ácido acetilsalicílico a dosis que oscilan entre 100 y 325 mg14.
BIBLIOGRAFÍA
Pengo V, Ruffatti A, Iliceto S. The diagnosis of the antiphospholipid síndrome. Pathophysiol Haemost Thromb. 2006; 35(1-2): 175-80.
Briley DP, Coull BM. Neurological disease associated with antiphospholipid antibodies. Ann Neurol 1989; 25: 221-227.
Levine SR, Deegan MJ, Futrell N. Cerebrovascular and neurologic disease associated with antiphospholipid antibodies: 48 cases. Neurology 1990; 40: 1181-1189.
Montalbán J, Cervera R, Font J. Lack of association between anticardiolipin antibodies and migraine in systemic lupus erythematosus. Neurology 1992; 42: 291-296.
Herrero A, Mera J, Zea A, Masjuan J. Pseudotumor cerebri and systemic lupus erythematosus. Rev Clin Esp 2003; 203(2): 74-76.
Friedman DI, Jacobson DM. Diagnostic criteria for idiopathic intracranial hypertension. Neurology 2002; 59: 1492-5.
Hershko AY, Berkun Y, Mevorach D, Rubinow A, Naparstek Y. Increased Intracranial Pressure Related to Systemic Lupus Erythematosus: A 26-year Experience. Semin Arthritis Rheum. 2008 Jan 24.
Orefice G, De Joanna G, Coppola M, Brancaccio V, Ames PR. Benign intracranial hypertension: a non-thrombotic complication of the primary antiphospholipid syndrome. Lupus. 1995 Aug; 4(4): 324-6.
Sareen D, Jain A, Paljor P. Pseudotumor syndrome associated with antiphospholipid antibodies and cerebral venous sinus thrombosis. J Assoc Physicians India. 2002 Apr; 50: 603-5.
Jonas J et al. Central retinal artery occlusion in Sneeddon`s Disease associated with Antiphospholipidic antibodies. Am J Ophtalmol 1986; 102: 37-40.
Tolosa-Vilella C et al. Occlusive ocular vascular disease and antiphospholipid antibodies. Ann Rheum Dis 1990: 49(3) 203.
Retinopatía proliferante y anticoagulante lúpico. Arch Soc Esp Oftalmol 1988; 55: 387-392.
Miserocchi E, Baltatzis S, Foster S. Ocular features associated with anticardiolipin antibodies: a descriptive study. American Journal of Ophthalmology 2002; 133(2): 293-294
Ruiz-Irastorza G, Crowther M, Branch W, Khamashta M. Antiphospholipid Syndrome. Lancet 2010; 376: 1498-1509.