SEMINARIO DE CASOS CLÍNICOS


Molluscum Contagiosum: a propósito de un caso y su confirmación histopatológica

PÉREZ-CARRO G1, SUÁREZ-VILELA D2, JUNCEDA-MORENO J3

Hospital del Valle del Nalón.
1 Facultativo especialista de área. Servicio de Oftalmología.
2 Servicio de Anatomía Patológica.
3 Doctor en Medicina. Oftalmología.


RESUMEN

Caso clínico: Mujer de 29 años, sin antecedentes de interés, que acude por blefaroconjuntivitis de repetición en su ojo derecho sin mejoría con los tratamientos tópicos pautados. Se aprecia una queratoconjuntivitis folicular (QCF) y una lesión aislada en el borde del párpado superior compatible con molluscum contagiosum (MC) atípico. El diagnóstico será confirmado por el resultado histopatológico. En 6 meses no se han presentado recidivas.

Discusión: El MC, siendo una enfermedad benigna autolimitada es una causa tratable de QCF crónicas. Considerada una infección vírica cutánea de transmisión sexual (ETS), se encuentra también en pacientes sin prácticas de riesgo. La evaluación cuidadosa de la base de las pestañas buscando lesiones solitarias y atípicas, resulta clave para resolver la causa de la cronicidad de muchas conjuntivitis.

Palabras clave: Molluscum contagiosum, inclusiones intracitoplasmáticas, conjuntivitis folicular.


INTRODUCCIÓN

Molluscum contagiosum es una infección cutánea causada por un ADN-virus de la familia de los poxvirus. Entidad autolimitada y benigna sin embargo es causa de muchas queratoconjuntivitis de repetición tratables eficazmente con un abordaje quirúrgico simple. Comúnmente vista en niños, en adultos se considera una ETS, aunque se han comunicado casos en gente sana sin practicas de riesgo (1-3). Recientemente se le relaciona con estados de inmunosupresión en casos con lesiones múltiples (4).

  

CASO CLÍNICO

Mujer de 29 años que acude por un cuadro de enrojecimiento y picor en su ojo derecho (OD) de meses de evolución que no cede con colirios pautados en atención primaria. En la exploración destacamos hiperemia mixta con queratoconjuntivitis y reacción folicular intensa en conjuntiva tarsal inferior. Pápula redonda de 4 mm en borde libre de párpado superior OD compatible con molluscum contagiosum (fig. 1). Se decide pautar corticoides sin conservantes y lágrimas artificiales hasta la extirpación. Se realiza resección con cauterización de la base y se remite a anatomía patológica para su estudio histológico. El examen microscópico demuestra un patrón lobular con hiperplasia escamosa intradérmica. Estos lóbulos maduran y emigran hacia superficie para desintegrarse. En el citoplasma de los queratinocitos aparecen inclusiones eosinófilas (cuerpos del mollusco) que junto con queratina serán expulsadas hacia el cráter central de la lesión (figs. 2, 3, 4 y 5). Tras 6 meses de seguimiento sin tratamiento permanece asintomático y no se han observado recurrencias.


Fig. 1. Aspecto de pápula pálida en borde de párpado libre ojo derecho. Reacción folicular en conjuntiva tarsal inferior.


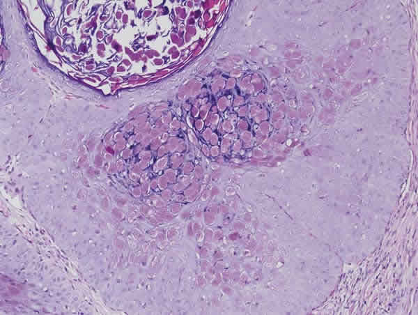
Fig. 2. Sección histopatológica tinción hematoxilina eosina. Lesión intradérmica con hiperplasia e hiperqueratosis del estrato córneo de la epidermis (x40).


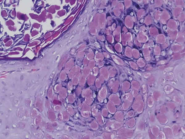
Fig. 3. Lóbulos de estrato corneo invertidos con cuerpos del molluscum madurando y emigrando hacia superficie (x100).


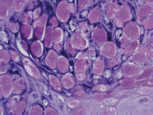
Figs. 4 y 5. Cuerpos del molluscum, inclusiones eosinófilas ocupando la mayor parte del citoplasma de las células escamosas infectadas (x100 y x400).

  

DISCUSIÓN

El MC es una enfermedad que se transmite por contacto directo o a través de fómites (1-3). En general entidad benigna y autolimitada. Causado por un virus ADN de cadena larga tiene un periodo de incubación entre 2 semanas a 2 meses (1). En niños tiende a desaparecer en la edad adulta, evolución relacionada con el desarrollo inmunitario (2). Hay autores que encuentran una mayor prevalencia en pacientes con dermatitis atópica y en usuarios de piscinas (4). En adultos las lesiones tienden a localizarse en área genital dado su relación con prácticas sexuales de riesgo. También se ha descrito en pacientes sanos sin relaciones de riesgo, al igual que nuestro caso (1-3).

El virus evade la respuesta inmune del huésped al interferir con el receptor del factor de necrosis tumoral (TNF) evitando la apoptosis inducida por el mismo en las células infectadas por el virus. Así está relacionada actualmente con estados de inmunodepresión, tratamientos con ANTI-TNF (5) y corticoides. En pacientes VIH positivos la prevalencia está entre 5-20% (1). En estos últimos las lesiones suelen ser mayores y múltiples.

Las lesiones típicamente son pequeñas pápulas, pálidas, ovaladas ó redondeadas, con depresión ó umbilicación central. Su localización en el borde del párpado es el origen de QCF crónicas resistentes a tratamientos tópicos antiinflamatorios. Se cree que la reacción folicular se origina como efecto tóxico directo y/o por hipersensibilidad hacia las proteínas virales liberadas en la película lagrimal (3). Las lesiones aisladas y solitarias son infrecuentes en adultos sanos (2,3). Pueden confundirse con basocelulares, queratoacantomas o quistes epidérmicos (2). El diagnóstico clínico suele retrasarse hasta en un 40% de los casos dado la variabilidad de las lesiones (3). En muchas ocasiones el diagnóstico definitivo viene dado por el estudio anatomopatológico.

Con el objetivo de acelerar la resolución del cuadro folicular secundario estas lesiones pueden ser tratadas mediante resección simple, curetage, crioterapia o cauterización. Abordaje terapéutico definitivo en la mayoría de los casos sin recurrencias de la lesión y del cuadro conjuntival (1-3) como en nuestro caso.


BIBLIOGRAFÍA


  1. Luque Aranda R, Baquero Aranda I, Salido Hidalgo C y cols. Molluscum contagiosum in a patient with no risk factors. Eur J Ophthalmol 2006; 16: 621-623.

  2. Khaskhely NM, Maruno M, Hoshiyama Y y cols. Molluscum contagiosum appearing as a solitary lesion on the eyelid. The Journal of Dermatology 2000; 27: 68-70.

  3. Schornack MM, Siemsen DW, Bradley EA y cols. Ocular manifestations of molluscum contagiosum. Clin Exp Optom 2006; 89: 390-393.

  4. Monteagudo B, Cabanillas M, Acevedo A y cols. Molusco Contagioso: estudio descriptivo. An Pediatr 2009; 72: 139-142.

  5. Cursiefen C, Grunke M, Dechant C y cols. Multiple bilateral eyelid molluscum contagiosum lesions associated with TNFalpha-antibody and methotrexate therapy. Am J Ophthalmol 2002; 134: 270-271.