SEMINARIO DE CASOS CLÍNICOS


Desprendimiento de retina hemorrágico secundario a degeneración macular senil asociada a la edad (DMAE)

GORDO-MOLINA IT1, GUTIÉRREZ-DÍAZ E1, MENCÍA-GUTIÉRREZ E1

Servicio de Oftalmología, Hospital 12 de Octubre, Universidad Complutense, Madrid, España.
1 Licenciado en Medicina.


RESUMEN

Introducción: Con frecuencia la neovascularización subretiniana puede causar hemorragias subretinianas extensas e incluso hemorragia vítrea, pero su asociación con desprendimiento de retina no es común. En casos de DMAE complicada, el mejor tratamiento posible es una vitrectomía pars-plana, aunque el pronóstico visual es muy malo.

Caso clínico: Varón de 79 años de edad diagnosticado de una hemorragia extensa intra y prerretiniana en polo posterior, secundaria a degeneración macular asociada a la edad (DMAE) exudativa. Un año después presenta un desprendimiento de retina hemorrágico casi total. No se le practica una vitrectomía por la mala situación visual y sistémica del paciente.

Palabras clave: Desprendimiento de retina hemorrágico, degeneración macular senil asociada a la edad, hemorragia vítrea, neovascularización subretiniana.


INTRODUCCIÓN

La degeneración macular asociada a la edad (DMAE), es el último estadio de la maculopatía asociada a la edad (MAE), siendo la principal causa de ceguera en individuos de raza blanca de mas de 65 años (1). El impacto socioeconómico de su aparición cada vez más frecuente, su patogénesis incierta, y las terapias limitadas hasta el momento, la hacen un reto en su estudio.

La clasificación mas aceptada de la MAE es la propuesta por la International Classification and Grading System for Age-relate Maculopathy and Age-maculopathy degeneration (2). El grado mas precoz es la presencia de drusas blandas (≥63 μm) en el área macular y/o cambios del epitelio pigmentario retiniano. El último estadio, conocido como DMAE, se caracteriza por uno de los siguientes cambios: atrofia geográfica, desprendimiento del epitelio pigmentario retiniano (origen vascular o no) y/o neovascularización coroidea con o sin secuelas. La hemorragia subretiniana masiva y la hemorragia vítrea son complicaciones posibles en la DMAE.

  

CASO CLÍNICO

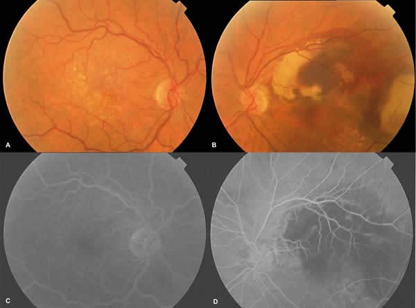
Paciente varón de 79 años de edad, con antecedente de HTA, cardiopatía isquémica, carcinoma de pulmón, claudicación intermitente y bocio nodular tóxico. Acude a urgencias por descenso de agudeza visual (AV) en ojo izquierdo (OI), que se reduce a contar dedos a 3 metros. En ojo derecho (OD) la AV era de 0,5 sin corrección. En la exploración de fondo de ojo se evidencia hemorragia intra y prerretiniana en OI, con gran levantamiento central y abundante exudación en el borde nasal de la lesión, así como drusas blandas confluentes en OD. El diagnóstico es degeneración drusenoide en OD (fig. 1A) y hemorragia retiniana en OI (fig. 1B), probablemente secundaria a DMAE exudativa. El resto de la exploración fue normal, excepto por presentar cataratas en evolución.


Fig. 1: A) Drusas blandas y confluentes. B) Hemorragia intra y subretiniana con gran elevación central. C y D) La AFG del OI muestra efecto pantalla por la hemorragia subretiniana.

Dada la gran elevación de la lesión macular y los antecedentes de carcinoma de pulmón, se realiza una ecografía y una resonancia nuclear magnética (RNM) que descartan la presencia de una masa intraocular.

La imagen en la angiofluoresceingrafía (AFG) muestra tortuosidad vascular marcada en ambos ojos (AO), zona de hipofluorescencia en polo posterior (efecto pantalla secundario a hemorragia) con zona de hiperfluorescencia tardía, sugestiva de membrana neovascular subretiniana (fig. 1C y D). La reabsorción progresiva de la hemorragia deja ver una placa de fibrosis blanquecina en polo posterior y alteraciones pigmentarias en la zona de la hemorragia (fig. 2), y la AV mejora a 0,1 en OI.


Fig. 2: Aspecto del polo posterior de OI después de la reabsorción de la hemorragia, con placa de fibrosis en el área macular.

Un año más tarde, acude nuevamente a urgencias por pérdida de AV en OI a movimiento de manos. En el estudio de fondo de ojo se aprecia un desprendimiento de retina (DR) hemorrágico casi total, manteniendo solo la mácula pegada por la placa de DMAE (fig. 3). Se explora la periferia retiniana y se descartan lesiones regmatógenas, por lo que se concluye que el DR es secundario a hemorragia masiva subretiniana. Se plantea vitrectomía posterior con retinotomía para evacuar la hemorragia y favorecer la reaplicación de la retina, pero a la semana el paciente presenta hemorragia vítrea que impide visualizar el fondo de ojo y pérdida de la percepción de luz. Finalmente se desestima el tratamiento quirúrgico por el mal pronóstico visual, unido a su mal estado general de salud. Posteriormente se reabsorbe la hemorragia vítrea pero sin recuperación visual (no percepción de luz).


Fig. 3: Retinografía de OI en la que destaca la hemorragia masiva subretiniana, con grandes pliegues y bolsas. La zona macular correspondiente a la placa de fibrosis previa permanece plana.

  

DISCUSIÓN

Aunque la forma no exudativa supone aproximadamente el 80% de la DMAE, la pérdida visual grave ocurre en la mayoría de los casos como consecuencia de la forma neovascular o exudativa. La neovascularización subretiniana, aparte de la escara disciforme característica de esta patología, también puede causar hemorragias subretinianas extensas e incluso hemorragia vítrea (HV) con cierta frecuencia, pero la aparición de una hemorragia subretiniana masiva con DR como el de nuestro paciente es poco frecuente.

La DMAE es la causa más frecuente de hemorragia subretiniana masiva, y en especial la vasculopatía polipoidea coroidea, aunque también puede aparecer como complicación en el curso de otras patologías como son la presunta histoplasmosis ocular, la miopía magna, los macroaneurismas retinianos y los traumatismos. En pacientes con DMAE, el tratamiento con anticoagulantes y ciertas enfermedades hematológicas, como la púrpura trombocitopénica, parecen favorecer la aparición de hemorragia subretiniana masiva, así como de HV.

En el caso que presentamos, la hemorragia subretiniana masiva fue la causa del DR. En la exploración realizada en el momento del diagnóstico del DR hemorrágico no se hallaron lesiones regmatógenas en la periferia retiniana, por lo que ese mecanismo de producción quedó descartado, aunque posteriormente sí debió producirse alguna solución de continuidad, ya que la hemorragia se extendió a la cavidad vítrea. Por otra parte, en ese momento tampoco existían alteraciones vítreas que pudieran justificar un mecanismo traccional, por lo que el único mecanismo de producción del DR era el levantamiento de la retina por la hemorragia subretiniana masiva, quedando aplicada únicamente el área macular en la zona correspondiente a la placa cicatricial causada por la DMAE. De los factores de riesgo mencionados para la aparición de hemorragia subretiniana masiva en la DMAE, nuestro paciente sí tenía HTA y cardiopatía isquémica, pero no estaba en tratamiento anticoagulante.

Los tratamientos clásicos de esta enfermedad han sido la radioterapia, la crioterapia y la fotocoagulación con láser de argón, sin que ninguno de ellos pudiera asegurar el mantenimiento de la visión. La terapia fotodinámica con verteporfino supuso un avance importante, con cierta estabilización de la visión, así como la inyección intravítrea de corticoides con poder antiangiogénico y antiinflamatorio, como el acetónico de triamcinolona. Pero solo la introducción de los fármacos antiangiogénicos ha conseguido un efecto beneficioso claro en esta patología, incluso con mejoría de la AV, por lo que hoy día son la primera línea de tratamiento en esta enfermedad.

En pacientes con DMAE complicada con hemorragia vítrea o subretiniana extensa, únicamente una vitrectomía pars-plana puede ser efectiva en su resolución (3). Las retinotomías periféricas pueden ser útiles para drenar la sangre subretiniana, así como el uso de factor activador del plasminógeno, que facilita la evacuación de la sangre, pero ello no va a restaurar la visión perdida (4). A través de las retinotomías también se puede realizar la escisión de la propia membrana y prevenir futuras hemorragias.

  

CONCLUSIONES

En caso de HV masiva en un paciente de edad avanzada, la DMAE debe ser considerada en el diagnóstico diferencial. En tres cuartas partes de estos pacientes, la reabsorción de la misma permite visualizar el polo posterior y confirmar la lesión disciforme. Se trata de una complicación grave, con reducción marcada de la AV. El diagnóstico diferencial también debe hacerse con una tumoración intraocular, primaria o secundaria. El melanoma de coroides se asocia a desprendimiento de retina secundario no regmatógeno sobre la lesión y alrededor de la misma. Una metástasis coroidea se hace sintomática cuando asienta bajo la mácula, invade el nervio óptico o produce un desprendimiento exudativo con afectación macular.

El pronóstico visual de las hemorragias subretinianas masivas secundarias a DMAE es muy malo. Las toxinas procedentes de la sangre acumulada, la distorsión de la retina, así como la isquemia generada por el efecto barrera creado por la sangre, van a contribuir al daño de los fotorreceptores y la pérdida de visión (5). No obstante, en casos con mala visión en el ojo contralateral, la evacuación de la sangre y reaplicación de la retina pueden mantener el campo visual periférico y mejorar la calidad de vida en estos pacientes.


BIBLIOGRAFÍA


  1. Augood CA, Vingerling JR, de Jong PT, Chakravarthy U, Seland J, et al. Prevalence of age-related maculopathy in older Europeans: the European Eye Study (EUREYE). Arch Ophthalmol 2006; 124: 529-535.

  2. Bird AC, Bressler NM, Bressler SB, Chisholm IH, Coscas G, Davis MD, et al. An international classification and grading system for age-related maculopathy and age-related macular degeneration. The International ARM Epidemiological Study Group. Surv Ophthalmol 1995; 39: 367-74.

  3. Oshima Y, Ohji M, Tano Y. Pars plana vitrectomy with peripheral retinotomy after injection of preoperative intravitreal tissue plasminogen activator: a modified procedure to drain massive subretinal haemorrhage. Br J Ophthalmol 2007; 91: 193-8.

  4. Tilanus MA, Vaandrager W, Cuypers MH, Verbeek AM, Hoyng CB. Relationship between anticoagulant medication and massive intraocular hemorrhage in age-related macular degeneration. Graefes Arch Clin Exp Ophthalmol 2000; 238: 482-5.

  5. Hochman MA, Seery CM, Zarbin MA. Pathophysiology and management of subretinal hemorrhage. Surv Ophthalmol 1997; 42: 195-213.