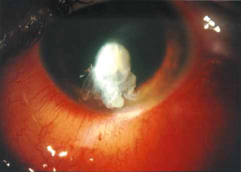
Figura 1

FORMA NECRÓTICA DE QUERATITIS INFECCIOSA EN UNA PACIENTE DE 17 AÑOS PORTADORA DE LC DESECHABLES DESDE HACE 2 AÑOS. ACUDE POR DOLOR Y DISMINUCIÓN DE VISIÓN PROGRESIVA EN OD DE 2 DÍAS DE EVOLUCIÓN. LOS CULTIVOS DEMOSTRARON EL CRECIMIENTO DE 2 CEPAS DIFERENTES DE PSEUDOMONA AERUGINOSA.