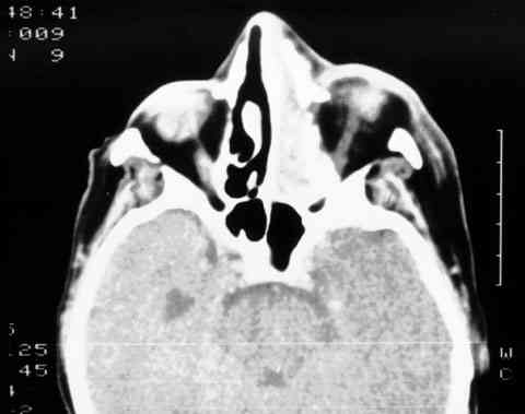
Figura 4

T.A.C. QUE REVELA LA OCUPACIÓN DE LA FOSA NASAL, EL SENO ETMOIDAL Y PARTE DE LA ÓRBITA IZQUIERDA.  

[Regresar]