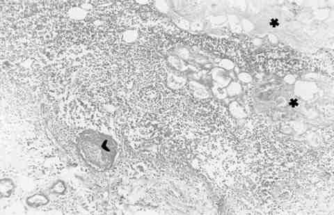
Figura 6

ÁREA DE NECROSIS ISQUÉMICA MASIVA (*) SECUNDARIA A TROMBOSIS (>), CON MARCADO INFILTRADO INFLAMATORIO (LINFOCITOS Y POLIMORFONUCLEARES). TINCIÓN DE P.A.S. (MAGNIFICACIÓN ORIGINAL X 50).  

[Regresar]