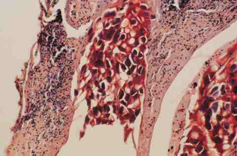
Figura 1

MOLLUSCUM CONTAGIOSUM. LAS CÉLULAS EPITELIALES DEMUESTRAN INCLUSIONES VITALES EOSINOFÍLICAS CARACTERÍSTICAS DENTRO DEL CITOPLASMA (ROJO CONGO, 500x).  

[Regresar]