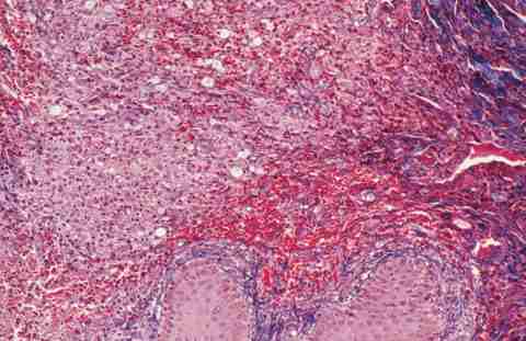
Figura 2b

SARCOMA DE KAPOSI. NEOPLASIA COMPUESTA POR UN ESTROMA ESPONJOSO, CON ESPACIOS VASCULARES IRREGULARES, DELINEADOS POR CÉLULAS FUSIFORMES MALIGNAS (MASSON'S TRICHROME, 500x).  

[Regresar]