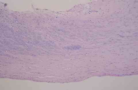
Figura 4

QUERATITIS BACTERIANA. CÓRNEA EDEMATOSA, CON CÉLULAS INFLAMATORIAS DE TIPO AGUDO Y MICROORGANISMOS INFILTRANDO TODO EL ESTROMA (PAS, 250x).  

[Regresar]