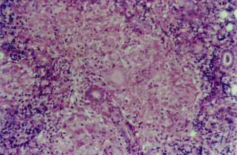
Figura 3

AP MICROSCÓPICA DE GLÁNDULA PARÓTIDA: PROLIFERACIÓN GRANULOMATOSA NO CASEIFICANTE CONSTITUIDA POR CÉLULAS EPITELIOIDES Y CÉLULAS TIPO LANGHANS, ALGUNAS CON CUERPOS CONCHOIDES EN SU CITOPLASMA. LOS GRANULOMAS SON EN OCASIONES CONFLUENTES Y EN SU MAYOR PARTE NO MUESTRAN CORONA LINFOCITARIA (HEx100).